Early-pregnancy blood pressure (BP) patterns can help identify women at increased risk of developing incident hypertension up to 14 years after childbirth, suggests ..
Although the risk of scar niche formation increases with multiple cesarean deliveries, it is important to recognize that a niche can also develop after a single cesa..
In healthy pregnant women, a prepregnancy BMI in the overweight or obese range nearly doubled the risk of gestational diabetes and hypertensive disorders of pregnanc..
Omphalocele (exomphalos) is a congenital anterior abdominal wall defect frequently associated with chromosomal or structural anomalies. Environmental and infectious ..
About half of the women with prelabor rupture of membrane (PROM) experience spontaneous labor following induction of labor at 24 hours compared to 12 hours. But they..
Myomectomy is a safe and effective surgical option for managing recurrent uterine fibroids following high-intensity focused ultrasound (HIFU) ablation, suggests a st..
Women with central obesity are at a higher risk of incident pelvic organ prolapse. This risk is particularly pronounced in those younger than 60 years of age or do n..
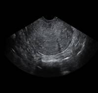
Ovarian torsion is a gynecological emergency caused by rotation of the ovary on its supporting ligaments, leading to compromised blood flow and potential ovarian nec..
All subtypes of gestational diabetes mellitus (GDM) are associated with increased birth weight and greater newborn adiposity compared to mothers with normal glucose ..
Fetuses with nuchal translucency measurements as low as 2.0 mm have a higher probability of chromosomal abnormalities, suggests a recent study published in JAMA Netw..
One-third of asymptomatic, postmenopausal women who underwent hysterectomy for uterovaginal prolapse have endometrial polyps, according to a study published in the F..
Ovarian pregnancies account for approximately 3% of all ectopic pregnancies. Second-trimester ovarian pregnancies are extremely rare. We report a case of ruptured ov..
A systematic review and meta-analysis has provided valuable insights into the relationship between previous stillbirth and perinatal outcomes in subsequent pregnanci..
Hypertensive disorders of pregnancy (HDP), including preeclampsia, are linked to an increased risk of maternal cardiovascular disease, stroke, and chronic kidney dis..
A new study examined pelvic floor dysfunction (PFD), including urinary incontinence (UI), fecal incontinence (FI), and prolapse, in women 20+ years after childbirth,..
A report describes a case of a 28-year-old female who complained of acute urinary retention and a history of severe cyclical dysmenorrhoea along with dull, aching lo..
A recent study explored the risk factors for tubal rupture in tubal pregnancy, followed by the construction and validation of a prediction model for tubal rupture.Th..
There has been evidence of an increased risk of obstetric outcomes and complications in pregnancies conceived by in-vitro fertilization (IVF) in comparison to sponta..
Women diagnosed with ectopic pregnancy (EP) have to take methotrexate and are often concerned with its side effects. The present study evaluated the potential effect..
A report describes a case of a 35-year-old primigravid who presented at 38 weeks of gestation with gestational hypertension, thrombocytopenia, and large subserosal f..
Prolonged or arrested labor remains one of the most challenging intrapartum scenarios faced by obstetric clinicians. Among the leading contributors are fetalmalpre..
A new systematic review and meta-analysis comparing transradial access (TRA) with the traditional transfemoral access (TFA) in uterine artery embolization (UAE) s..
A new national analysis reveals that physician peer networks play a significant role in how quickly clinicians adopt opportunistic salpingectomy—a preventive strat..
Heterotopic pregnancy, defined as the simultaneous occurrence of intrauterine and extrauterine gestations, is usually diagnosed in the first trimester. Its incide..
Myomectomy is a safe and effective surgical option for managing recurrent uterine fibroids following high-intensity focused ultrasound (HIFU) ablation, suggests a st..
Women with central obesity are at a higher risk of incident pelvic organ prolapse. This risk is particularly pronounced in those younger than 60 years of age or do n..
A study published in the February 2025 issue of Obstetrics and Gynecology has shown that high blood pressure (BP) during the early third trimester of pregnancy is st..
AbstractRenal metastasis from uterine leiomyosarcoma is extremely rare. We report a case of a middle-aged woman who presented with flank pain and was found to have a..
Severe pelvic adhesions significantly reduce pregnancy rates following high-intensity focused ultrasound (HIFU) ablation for adenomyosis, as per findings of a new st..
Can real-time continuous glucose monitoring (CGM) achieve higher percent glucose time in range (%TIR) vis-à-vis capillary blood glucose (CBG) monitoring among pregna..
Women with previous therapeutic surgeries for endometriosis are likely to experience more intraoperative complications, greater need for adhesiolysis with longer dur..
AbstractExomphalos (omphalocele) is a congenital anterior abdominal wall defect characterized by herniation of abdominal viscera into the base of the umbilical cord,..
Advancements in obstetric imaging have profoundly enhanced the monitoring and management of pregnancies, particularly those identified as high risk. Among the variou..
The global escalation in cesarean section (C-section) rates continues to pose a significant challenge to maternal health care systems. Although caesarean delivery re..
IntroductionPrompt detection of deviations from normal labor progress is essential for improving maternal and perinatal outcomes. The partograph remains a foundation..
Clinical PresentationAn eleven-year-old premenarcheal girl presented with acute lower left abdominal pain and vomiting. On examination, her vital signs were stable, ..
Women who deliver through cesarean section (C-section) are at an elevated risk of developing sleep disorders and having persistent pain and post-childbirth, accordin..
Vulvovaginal candidiasis (VVC) is a frequently encountered infection, affecting as many as three out of four women at least once in their lifetime. n India, the cond..
A recent observational study by Rema V Nair and colleagues evaluated the accuracy of nuchal translucency (NT) in detecting congenital heart defects (CHDs) at 11 to 1..
A report describes a case of a 28-year-old primigravida at 35 weeks of gestation who presented with severe nausea, vomiting, and significant fatigue for five days. H..
A large population-based study of 794,278 obese women with a prior cesarean delivery has found that those who attempted a trial of labor after cesarean (TOLAC)..
The association between elevated uric acid (UA) levels and adverse pregnancy outcomes—such as preeclampsia, fetal growth restriction, and preterm birth—is well recog..
The global rise in cesarean section (CS) rates has brought with it an increasing number of technically challenging and high-risk procedures. Surgical complexities of..
A 34-year-old woman who was 29 weeks pregnant was brought to the gynecology department of a hospital with two days of lower abdominal pain and elevated inflammatory ..
Vaginismus – a complex condition, is characterized by heightened muscle tension, pain, anxiety, and fear––primarily due to psychosocial factors––making vaginal penet..
Premature rupture of membranes (PROM) at term, in the absence of spontaneous uterine contractions, poses potential risks for both mother and fetus. When amniotic flu..
The superovulation phase plays a crucial role in determining the success and cost-effectiveness of assisted reproductive technology (ART). Previous research has indi..
A 55-year-old postmenopausal woman presented to a tertiary care center with a two-year history of a mass protruding per vaginam. She had attained menopause 10 years ..
Few studies have explored the relationship between preconception sexual function and time-to-pregnancy (TTP), despite the critical role that frequency and timing of ..
Prenatal invasive tests, such as chorionic villus sampling (CVS) and amniocentesis, are frequently performed on women at high risk for having a child with aneuploidy..
Incomplete wound healing can result in the cesarean scar (CS) niche, which can impact subsequent pregnancies and cause various gynecological issues. Although interna..
An accessory cavitated uterine mass (ACUM) is a rare Müllerian anomaly characterized by an extra cavity in the uterus alongside a normal uterine cavity. This conditi..
Obesity is a chronic disease with significant global morbidity and mortality, substantially impacting reproductive health by affecting fertility, pregnancy outcomes,..
Early recognition of pregnancy is key to improving outcomes, reducing risks, and expanding treatment options. While prior studies relied on surveys or clinical data,..
The second stage of labor, extending from complete cervical dilatation to delivery, is traditionally assessed by its duration. Still, progress can be more meaningful..
A report describes the case of a 34-year-old female patient who underwent a caesarean section performed for preterm premature rupture of membranes and acute chorioni..
Obstetrical fistula, an abnormal opening between the reproductive tract and the lower urinary or gastrointestinal tract, affects nearly two million women worldwide a..
A review published in Obstetrics & Gynecology evaluated the efficacy and safety of elinzanetant and fezolinetant for managing vasomotor symptoms (VMS).In this sy..
A recent secondary analysis of two major randomized clinical trials has assessed the effectiveness of menopausal hormone therapy (HT) for managing vasomotor symptoms..
A report describes a case of a woman in her mid-40s who presented with a painful lump in the right groin for five years. The pain aggravated during menstruation, cou..
The Affordable Care Act (ACA) removed cost-sharing for contraceptive methods, aiming to improve access and reduce unintended pregnancies. Its impact on contraception..
Acetaminophen is one of the most widely used over-the-counter medications, including during pregnancy. Concerns have been raised about whether maternal acetaminophen..
Adenomyosis has been strongly associated with infertility and poor pregnancy outcomes, yet its underlying mechanisms remain unclear. Hanxi Zheng and colleagues condu..
A report describes a case of a 73-year-old woman, parity 5 with five live issues, who presented to the gynecology emergency with severe continuous abdominal pain for..
Polycystic Ovarian Syndrome (PCOS) is too often boxed into the realm of reproductive health. Yet, its real burden may lie in the silent cardiometabolic risks it carr..
Maternal undernutrition and low birth weight babies are frequently reported in developing nations like Pakistan. Pre-eclampsia and its marked association with fetal ..
Healthcare providers treating lactating women for nipple and breast pain often regard these symptoms as Candida albicans infections. However, multiple other conditio..
A report describes a case of a 35-year-old woman, gravida 2 para 1, who had undergone bilateral Uterine artery embolization (UAE) with a gelatin sponge for postpartu..
Gestational diabetes mellitus (GDM) continues to rise globally, with significant implications for both maternal and neonatal health. As researchers explore prevent..
A large multicenter study from Russia suggests that a 0.1% activated glycyrrhizic acid spray may be an effective adjunct therapy for women with nonspecific vaginit..
Preterm birth remains a leading cause of neonatal morbidity and mortality worldwide, with limited preventive strategies—particularly in low-resource settings. Low-..
PresentationA teenage paraplegic patient presented with a 1-month history of persistent vaginal discharge, initially treated as presumed candidiasis. On examination..
Women with central obesity are at a higher risk of incident pelvic organ prolapse. This risk is particularly pronounced in those younger than 60 years of age or do n..
Polycystic ovary syndrome (PCOS) and gestational diabetes mellitus (GDM) alone increased the risks for complications like preeclampsia and preterm birth, their coexi..
A new study published in the journal BMC Pregnancy and Childbirth has found that interpregnancy intervals of 24 months or longer were associated with a higher risk ..
Intrahepatic cholestasis of pregnancy (ICP) is a liver disorder unique to pregnancy, typically manifesting in the late second or third trimester. We report a rare ca..
Iron-deficiency anemia (IDA) continues to be a major public health concern in India, affecting over 40% of adolescent girls and women of reproductive age, according ..
A new study highlights the effectiveness of an integrated, sensorized childbirth simulation platform for improving labor progression assessment skills in inexperienc..
A randomized controlled study evaluated the impact of sacral massage on the occurrence of meconium-stained amniotic fluid and the duration of fetal descent in labor ..
AbstractPurpura fulminans (PF) is a rapidly progressive thrombotic disorder of the dermal microvasculature associated with disseminated intravascular coagulation (DI..
Approximately 26% of women with very early preterm prelabour rupture of membranes (PPROM) who received expectant management had children who survived to hospital d..
Older age, nulliparity, a history of endometrial polyps, and a short interval between endometrial samplings (less than 12 months) are significant predictors of end..
The presence of an echogenic mass on ultrasound is the most sensitive and specific sonographic indicator of retained products of conception (RPOC) following any p..
AbstractEndometrial carcinoma is predominantly a postmenopausal disease and is extremely rare during pregnancy due to the protective effect of progesterone and the..
A study published in the journal Thyroid found that women diagnosed with subclinical hypothyroidism during the first half of pregnancy have greater likelihood of dev..
Preterm birth is a major cause of neonatal morbidity and mortality. Even women with no known risk factors for preterm birth can be affected, highlighting the need fo..
Women who undergo endometrial ablation have a high likelihood of requiring a subsequent hysterectomy, with the incidence rising from 5% within the first year to near..
Abdominal pain is a common complaint during pregnancy and may be attributed to a broad spectrum of underlying causes—one of the rarer but serious possibilities being..
Accurate assessment of gestational age is critical for optimal obstetric management, particularly in guiding decisions related to pregnancy progression and the risk ..
Gestational diabetes mellitus (GDM) and impaired glucose tolerance (IGT) represent significant global health challenges, particularly due to their impact on perinata..
The labor and delivery process can be particularly stressful for first-time mothers. Providing massage and emotional support through birth companions may enhance the..
A 35-year-old woman presented with gradually worsening abdominal pain over the past 15 days. The pain was accompanied by two episodes of vomiting and vaginal bleedin..
First time mothers with a history of preeclampsia are at a future higher risk of developing arrhythmia than women without preeclampsia, according to results of a stu..
Fetuses with nuchal translucency measurements as low as 2.0 mm have a higher probability of chromosomal abnormalities, suggests a recent study published in JAMA Netw..
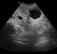
Smaller ovarian cysts smaller than 3 cm resolve faster than cysts that are larger than 6 cm, suggests a study published in the journal Obstetrics & Gynecology.1Over ..
A report describes a case of a 23-year-old woman with a BMI of 18.2 kg/m2 who was admitted due to the presence of endometrial polyps (EPs) that had been detected o..
The age at menarche is a key biological milestone in a woman’s life and is widely regarded as an important indicator of population health and quality of life. Tracki..
Uteroplacental insufficiency—characterized by inadequate blood flow to the placenta during pregnancy—requires a thorough understanding of the underlying placental pa..
Polycystic Ovary Syndrome (PCOS) is a common endocrine disorder affecting 5–10% of women worldwide. Characterized by menstrual irregularities, hyperandrogenism, and ..
A 41-year-old woman – gravida 6 para 6, was admitted with recurrent LUTS for seven months, including – frequent urination, urgency, and gross hematuria. The lad..
A retrospective observational study conducted at Gandhi Hospital involving 200 pregnant women with thrombocytopenia sheds critical light on the spectrum of etiolo..
Acne vulgaris often presents a therapeutic dilemma during pregnancy and lactation, where hormonal shifts can trigger flares, yet treatment options are limited by s..
Pruritus is one of the most frequently reported and distressing dermatologic symptoms during pregnancy, affecting the quality of life and sleep in expectant mother..
Sclerosing stromal tumors (SSTs) are exceptionally rare, benign ovarian neoplasms that typically present in young women during their second and third decades of li..
Hidradenitissuppurativa (HS) is a chronic, relapsing inflammatory skin disease that disproportionately affects women, particularly in intertriginous and genital ar..
A recent observational study from January 2023 to March 2024 assessed postoperative outcomes in women undergoing cesarean section, focusing on pain, wound complic..
Vaginal dryness and discomfort are often under-recognized concerns among women of reproductive age, with substantial implications for sexual function and overall ..
Acute colonic pseudo-obstruction (Ogilvie’s syndrome) is a rare but potentially life-threatening postoperative complication, particularly in the post-cesarean set..
Iron-deficiency anemia (IDA) remains a major public health issue in India, affecting over 40% of adolescent girls and women of reproductive age, as per WHO data. D..
Vitamin D deficiency is emerging as a silent epidemic among pregnant women, with wide-ranging implications for both maternal and fetal outcomes. A recent cross-sec..
Pregnancy induces diverse cutaneous changes, ranging from benign physiological shifts to more serious dermatoses that demand clinical attention. Among these, Intra..
Placenta accreta spectrum (PAS) refers to abnormal invasion of the placenta into or through the uterine wall, ranging from accreta to increta and percreta, and is ..
Malnutrition remains a persistent and multifaceted challenge among women and girls of reproductive age (WRA) in South Asia. Over one in five WRA are underweight, t..
Polycystic Ovary Syndrome (PCOS), long recognized for its reproductive implications, also poses substantial risks for long-term metabolic and cardiovascular health..
Atopic Eruption of Pregnancy (AEP) is the most frequent pregnancy-specific dermatosis, typically affecting women with a personal or family history of atopy. It ma..
A 27-year-old nulliparous woman presented with abdominal pain and was diagnosed on ultrasonography with bilateral ovarian dermoid cysts—one measuring 5.9×5.5×4.9 ..
Skin changes are common in pregnancy due to hormonal, immune, and vascular shifts. These changes, seen in up to 90% of pregnant women, may include normal physiolog..
Amniotic fluid, a dynamic medium, is affected by Oligohydramnios, a decrease of less than 8cm. It has been suggested that increasing maternal blood volume and imp..
Acne vulgaris commonly affects women of childbearing age, but treating it during pregnancy raised safety concerns owing to risks associated with certain medication..
Dysgerminoma, a malignant ovarian tumor, was rarely associated with pregnancy, and its diagnosis was often complicated by the physiological and anatomical changes ..
Polycystic ovarian syndrome (PCOS) is a multifaceted hormonal disorder with diverse clinical manifestations. While anti-Müllerian hormone (AMH) is considered a..
Labor pain is recognized as a significant emotional and physical experience that could affect the mother's psychological well-being, the progress of labor, and fetal..
Adolescent girls often experience Premenstrual Syndrome (PMS), characterized by physical, emotional, and behavioral symptoms during the luteal phase of the menstrual..
Vulvar tumours are rare benign lesions in the lower genital tract, often requiring gynaecological consultations. Three distinct presentations include vulvar angiofib..
Breastfeeding is a key maternal activity, and the quality of this experience makes a substantial contribution to biological, social-emotional, and cognitive well-bei..
An updated systematic review and meta-analysis has identified significant risk factors for both the development and recurrence of primary pelvic organ prolapse (POP)..
Pelvic exenteration is an ultra-radical surgical procedure that requires an en-bloc removal of some or all pelvic structures. The major indication for pelvic exenter..
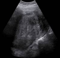
ABSTRACT –Background - A tubo-ovarian abscess is a complex infectious mass of the adnexa manifested with multiple clinical conditions such as fever, elevated WBC cou..
Hypertensive disorders during pregnancy are associated with elevated maternal and perinatal mortality and morbidity. The etiology of pregnancy-induced hypertension i..
New onset seizures in pregnancy and postpartum are often deemed as eclampsia. Nevertheless, other causes cannot be neglected, and prompt diagnosis and specific measu..
The goal of a study was to compare the analgesic effectiveness of intrathecal fentanyl and intrathecal buprenorphine as adjuvants to bupivacaine in cesarean sections..
A 28-year-old second-gravida, with a history of a previous miscarriage, was admitted at 37.3 weeks of gestation due to severe abdominal pain. The pain was acute and ..
Delivery at an earlier gestational age, recurrent vaginal bleeding, and requirement of emergent delivery are predictors of ICU admission in patients with placenta ..
A time interval from myomectomy to pregnancy of 6 to 11 months is associated with lower risks of gestational hypertensive disorders and neonatal death compared to ..
Early gestational diabetes mellitus (GDM) is associated with an increased incidence of adverse perinatal outcomes despite treatment beginning at 24–..
A report describes a case of a 14-year-old girl with ovarian mucinous adenocarcinoma who complained of lower abdominal pain for around 3 weeks and presented with a..
The size of the uterine fibroids, and not their number, increases the risks for adverse pregnancy and obstetric outcomes including breech presentation, postpartum he..
Preeclampsia (PE) is a serious obstetric condition that poses significant risks to both maternal and neonatal health. Its etiology and pathogenesis are complex and n..
A new study published in the journal BMC Pregnancy and Childbirth has found that interpregnancy intervals of 24 months or longer were associated with a higher risk ..
Although spinal anaesthesia is a commonly used anaesthetic technique during caesarean sections, it is correlated with the risk of postdural puncture headache (PDPH)...
Anxiety levels in patients undergoing preoperative cesarean sections with spinal anesthesia can influence both physiological and psychological outcomes. Endorphin ma..
Premenstrual syndrome (PMS) poses significant challenges to the health of girls and women. Engaging in physical activity and sports has been identified as an effecti..
The present study investigated the characteristics and pregnancy outcomes in women with primary adrenal insufficiency (PAI). This retrospective multicenter cohort st..
Vulvar tumors are rare growths in the lower genital tract and commonly prompt gynecological consultations. Most of these tumors do not require treatment, while some ..
Cracked nipples are a common complication of breastfeeding and significantly impact the initiation and continuation of breastfeeding, particularly during the first 3..
The current study was designed to assess the effectiveness and safety of open-label placebos (OLP) for treating premenstrual syndrome (PMS).The study was a randomize..
Hormones that are transferred from maternal plasma to milk during lactation play a vital role in initiating and maintaining breastfeeding. This study aimed to invest..
Ovarian cysts are frequently discovered during pregnancy and can pose diagnostic and management challenges due to potential impacts on both the mother and fetus. Thi..
Addressing nipple issues is essential during the postpartum period to support successful breastfeeding. Although breast milk is the most commonly endorsed method for..
Shoulder pain and anxiety are prevalent among women undergoing gynecological laparoscopic surgeries. The impacts of virtual reality (VR) treatment and effleurage mas..
Premenstrual syndrome (PMS) is a prevalent health issue among women of reproductive age, and early traumatic experiences may adversely impact women's health. Childho..
Sclerosing stromal tumors (SSTs) are uncommon ovarian tumors that primarily affect young women in their 20s and 30s. This report details the case of a young woman di..
Nipple trauma and pain can hinder breastfeeding, often resulting in early cessation. Moisturizing therapies, such as lanolin and hydrogel dressings, are suggested fo..
Sacral massage during childbirth may offer various benefits, particularly in reducing stress and fatigue. This systematic review and meta-analysis aimed to evaluate ..
Premenstrual syndrome (PMS) affects nearly 48% of women of reproductive age globally, leading to functional difficulties, reduced quality of life, and decreased work..
Uterine malformations involving a rudimentary horn are uncommon, affecting 2% to 4% of women. These malformations arise from the incomplete fusion of the Müllerian d..
Mental health issues related to polycystic ovary syndrome (PCOS) are significant yet often overlooked. Research on the link between PCOS and eating disorders in Indi..
Amniotic fluid, which surrounds the fetus, can decrease in volume, leading to a condition called oligohydramnios, which usually occurs when the volume is less than 8..
The current observational study evaluated maternal and neonatal outcomes with the use of 25 µg of oral Misoprostol administered every two hours versus 50 µg given ev..
Herlyn Werner Wunderlich syndrome, also known as Obstructed Hemivagina and Ipsilateral Renal Agenesis (OHVIRA), is a rare congenital condition affecting 0.16% of fem..
Ovarian cysts are frequently found incidentally during pregnancy and can pose significant diagnostic and management due to potential risks to both the mother and fet..
Sutures and staples are one of the most common variety of materials and techniques used for skin closure after caesarean section (CS). The selected method should be ..
The study aimed to assess the perinatal outcomes of pregnancies with early severe alloimmunization. This was a prospective observational study comparing Rh alloimmun..
Cesarean scar ectopic pregnancy (CSEP) is a rare gynecological disorder affecting about 0.05% of pregnancies and under 0.2% of cesarean scars. The primary aim in tre..
The current study aimed to analyze trends in surgical repair for pelvic organ prolapse (POP) and the characteristics of patients over the past ten years, with a focu..
The demand for laparoscopic surgeries has been increasing across surgical departments over the past few decades. Hysterectomy, a frequently performed gynecological o..
Fetal growth restriction (FGR) presents major challenges in obstetrics, particularly in India, where its occurrence is notably high. There is a lack of research on h..
An ectopic pregnancy occurs when a fertilized egg implants outside the uterus, which can involve one or more embryos. A recent study indicated that unilateral twin t..
The goal was to increase the measurement of mean arterial pressure (MAP) in pregnant women during antenatal check-ups from 0% to 70% within six months.A quality impr..
Secondary postpartum and post-abortion hemorrhage caused by uterine vascular anomalies can vary in severity from mild to life-threatening. Despite the availability o..
Polycystic ovary syndrome (PCOS) is the most prevalent endocrine disorder among women of reproductive age, affecting 8-13% of this population based on different diag..
Germ cell tumors (GCTs) make up 15-20% of all ovarian tumors in children and young women, with mature cystic teratoma, or dermoid cyst, being the most prevalent type..
Postpartum depression (PPD) is a mood disorder characterized by depressive symptoms that occur during the perinatal period, affecting not just the woman, but also he..
Pregnancy-Induced Hypertension (PIH) poses a serious risk to pregnant women and is associated with severe outcomes for both mother and fetus. The present study exami..
The current study evaluated the effectiveness and safety of fezolinetant and elinzanetant for treating vasomotor symptoms in menopausal women.A systematic search of ..
A 59-year-old woman with a BMI of 72 kg/m² sought treatment at a community hospital for sudden, severe vaginal pain. Examination revealed a large, textured mass in h..
A gluten-free diet (GFD) is gaining popularity, particularly among young women, including those without diagnosed celiac disease (CD). However, its safety during pre..
The study conducted by Salvi P, et al aimed to assess the benefits of adding infrared radiation to standard care in comparison to only routine care on the healing of..
Maternal mortality from severe preeclampsia and eclampsia have drastically declined in developed nations due to the effective use of magnesium sulphate. However, the..
Ebstein anomaly is a rare congenital heart defect that affects the tricuspid valve and constitutes about 1% of congenital heart defects, with a prevalence of 5.2 p..
Postpartum hemorrhage (PPH) and its prevention pose significant issues globally that severely affect maternal health. The Active Management of the Third Stage of Lab..
Heavy menstrual bleeding (HMB) poses a serious health issue causing impairment of quality of life and necessitate urgent medical attention. This study aimed to detec..
Evidence based observation suggests that younger women face a higher risk of undergoing hysterectomy following hysteroscopic surgeries (HS) for abnormal uterine blee..
Guillain-Barré Syndrome (GBS) is an autoimmune condition affecting the peripheral nervous system, typified by symmetric, progressive ascending polyneuropathy. It can..
The demand for female genital cosmetic surgery (FGCS) has risen significantly in recent years due to advancements in surgical techniques and increased awareness of w..
The global incidence of cesarean sections is rising significantly. Numerous factors contribute to surgical difficulties during cesarean delivery. Two of the most pre..
A new study evaluated ambulatory glycemic profiles and glycemic variability in pregnant women with type 2 diabetes mellitus (T2DM) undergoing pharmacological treatme..
A 34-year-old woman who was 29 weeks pregnant was brought to the gynecology department of a hospital with two days of lower abdominal pain and elevated inflammatory ..
Despite numerous primary studies and systematic and narrative reviews, no consensus exists on the effects of Ramadan fasting during pregnancy on maternal and birth o..
A new study aimed to evaluate postpartum hemorrhage (PPH) morbidity rates among patients who did and did not undergo immediate skin-to-skin contact (SSC).This was a ..
The impact of cyst size on ovarian reserve before and after surgery remains debatable.A recent study assessed whether cyst size influences pre- and postoperative ova..
A 23-year-old primigravida, at 34 weeks of gestation––with a vertex presentation and Rh-negative status––was transferred from a peripheral hospital to our tertiary c..
Thrombocytopenia--defined by a decreased platelet count--is a hematological condition that can arise during pregnancy. The physiological changes of pregnancy, in con..
Infertility affects millions of women globally, often leading to heightened stress and anxiety that negatively impact overall well-being and quality of life. Relaxat..
Surgical site infection (SSI) is a healthcare-associated infection occurring in wounds after surgical procedures. Its incidence ranges from 0.5-15%, depending on the..
A 22-year-old Gravida 2, Para 1--with a history of one previous cesarean section--presented to the outpatient department with two months of amenorrhea for her first ..
Fetal growth restriction (FGR) occurs when a fetus is not able to reach its genetic growth potential. This study aimed to compare the effectiveness of the trans-cere..
The labor and delivery process can be particularly stressful for first-time mothers. Providing massage and emotional support through birth companions may enhance the..
Accurate gestational age is essential for effective obstetric care, managing pregnancy and preterm labor. Ultrasound, which uses fetal biometric measurements, is a d..
Current guidelines for screening and diagnosing ovarian cancer heavily depend on clinical suspicion. Clinicians should assess symptoms and risk factors to determine ..
Preeclampsia (PE) is a severe complication encountered in pregnancy, which can lead to eclampsia, if remain untreated. Therefore, prevention of preeclampsia (PE) has..
A caesarean section is a commonly performed surgical procedure that can severely affect a woman's health and well-being. Traditional strategies for caesarean section..
Infertility, an illness identified by the World Health Organization (WHO), is defined as the failure to achieve a clinical pregnancy after 12 months of regular, unpr..
Placenta previa is defined as a condition where the placenta is positioned in the lower segment of the uterus, either directly over or very close to the internal cer..
Pain is considered as an unpleasant sensory and emotional experience linked to actual or potential tissue damage. Chronic pelvic pain (CPP) as defined by the Europea..
Infertility has a significant impact on the quality of life of both men and women. As women in modern times tend to bear children at older age, the average age of fi..
Breech presentation, occurring in 3-4% of singleton pregnancies at term, is a type of abnormal presentation when the fetus's buttocks or legs enter the pelvic inlet,..
Endometriosis, a common gynecological condition in reproductive-aged women presents with symptoms such as pelvic pain, menorrhagia, dysmenorrhea, dyspareunia, and in..
Gestational diabetes mellitus (GDM) and impaired glucose tolerance (IGT) are significant global health concerns, particularly affecting perinatal metabolism and endo..
A randomized, controlled, comparative study conducted from 2022-2023 at Gandhi Hospital evaluated the efficacy of oral dydrogesterone versus oral sustained-release m..
Preterm labor is a major contributor to perinatal morbidity and mortality globally, with preterm birth responsible for 75% of neonatal deaths and 50% of long-term mo..
A 35-year-old woman presented with gradually worsening abdominal pain over the past 15 days. The pain was accompanied by two episodes of vomiting and vaginal bleedin..
Diffuse alopecia, which starts about three months after delivery and lasts for about eight months, is known as postpartum hair loss. While there are individual varia..
Evidence suggests that postpartum hemorrhage (PPH) is linked to acute physical consequences such sepsis, hypovolaemic shock, and disseminated intravascular coagulati..
A study conducted by Ipek et al investigated the impact of idiopathic thrombocytopenic purpura (ITP) on pregnancies and the role of the delta hemoglobin indices in a..
Early detection and treatment of cervical carcinoma are critical, however, patients in low- and middle-income countries (LMICs) often present at advanced stages due ..
The current cross-sectional study was conducted to evaluate the knowledge, attitudes, awareness, facilitators, and barriers linked to the uptake of influenza vaccina..
The present multicentre prospective cohort study assessed the relationship between a short-period, high-dose in utero aspirin exposure and child neurocognitive devel..
Fontan surgery is a palliative procedure frequently performed for functional single-ventricle heart diseases. Fontan circulation is typified by increased central ven..
Tuberculosis (TB) in pregnancy, particularly when the central nervous system (CNS) is affected, presents considerable risks to both maternal and fetal health. The pr..
This study aims to test and adapt the Turkish psychometric properties of the preventive health management self-efficacy related to premature labor (PHMSE-PL) scale f..
Vascular Ehlers-Danlos syndrome (vEDS) is a hereditary connective tissue disorder that increases the risk of vascular, uterine and digestive complications during pre..
A study conducted by Kashiwabara et al analysed the effectiveness and safety of long-term, adjusted low-dose gonadotropin-releasing hormone agonist (GnRH agonist) dr..
Hysterotomy is a surgical procedure that entails making a deliberate incision in the uterus. While it is not frequently employed for abortions, its occurrence has ri..
Female genital mutilation (FGM) is a significant global public health issue, yet many countries lack access to reconstructive surgery for affected women. The ..
Preeclampsia (PE) is a serious obstetric condition that poses significant risks to both maternal and neonatal health. Its etiology and pathogenesis are complex and..
Severe early-onset fetal growth restriction (FGR) is associated with stillbirth, neonatal death, and neurodevelopmental impairments. Although poor maternal sp..
The current case study discusses a rare congenital condition known as Accessory Cavitated Uterine Mass (ACUM), which is a rare congenital mullerian anomaly, encoun..
Monochorionic twin pregnancies account for about 30% of all twin pregnancies. The placental architecture of complex monochorionic twins predisposes both twins to unf..
Evidence suggests that the inducing labour before the due date has been shown to lower the rate of caesarean sections and is not linked to an increased risk of unfav..
The safety of vaginal mesh tapes for stress urinary incontinence (SUI) has been the subject of serious concerns. Autologous rectus fascial sling and the more modern ..
Although spinal anaesthesia is a commonly used anaesthetic technique during caesarean sections, it is correlated with the risk of postdural puncture headache (PDPH)...
Dysphoric Milk Ejection Reflex (D-MER) is a prevalent, yet under-researched disorder in affecting lactating women. It is typified by sudden and intense feelings of n..
Twin pregnancies and previous cesarean delivery are associated with increased risk of failed vaginal delivery while cesarean delivery after a trial of labor is linke..
Chlamydia trachomatis (CT) is the leading cause of sexually transmitted bacterial infections worldwide, affecting around 131 million new cases annually. This c..
Abdominal pregnancy, accounting for 1% of ectopic pregnancies, presents significant management challenges due to its associated morbidity and mortality. It can be ca..
Few studies have examined the relationship between preconception sexual function and time-to-pregnancy (TTP), despite the fact that fertility success in mixed-sex co..
A crucial part of reproductive healthcare is abortion. About one out of every five pregnancies in the developed nation resulted in abortion in 2020. All trimesters c..
Incomplete wound healing can result in the cesarean scar (CS) niche, which can impact subsequent pregnancies and cause various gynecological issues. Although interna..
The Binder phenotype (BP) refers to a specific type of maxillo-nasal dysplasia characterized by a flattened nose, verticalized nasal bones, and maxillary retrusion, ..
The systematic review by Gordon et al., titled “Metformin in Pregnancy and Childhood Neurodevelopmental Outcomes: A Systematic Review and Meta-Analysis,” has offered..
Endometriosis is a condition that can cause significant pain and discomfort for women, and the available clinical and surgical treatments have varying levels of effe..
Pelvic magnetic resonance imaging (MRI) is an efficient diagnostic tool for assessing the extent of prolapse, typically using the pubococcygeal line (PCL) as a refer..
Placenta accreta spectrum (PAS) involves the abnormal attachment of the placental tissue to the uterine muscle. It can develop under various conditions and is primar..
Many patients report feeling anxious and apprehensive before a robotic gynecological surgery (RS). The current study is aimed to explore understanding and perception..
The article was conducted to evaluate the diagnostic utility of Anti-Mullerian Hormone (AMH) in detecting Polycystic Ovary Syndrome (PCOS) using an advanced marginal..
The latest recommendations suggest prophylactic mastectomy for women over 30 with augmented risk of breast cancer, Bilateral mastectomy can be performed using a vari..
The prevalence of cirrhosis among women of reproductive age is rising, leading to more pregnancies in this population despite historical challenges related to fert..
The present study was aimed to increase the measurement of mean arterial pressure (MAP) in pregnant women during antenatal check-ups from 0% to 70% within six months..
The aim of the current study was to estimate the effectiveness of urinary luteinizing hormone (LH) surge kits in comparison to transvaginal ultrasonography (TVS) for..
Effective management of acute post-operative pain and swelling is vital in obstetric and gynecological (OBG) surgeries to promote patient recovery and independence. ..
Vulval cancer is a rare disease that accounts for 1–3% of all female genital tract malignancies. A lot of patients wait until their condition gets advanced before se..
Perimenopause is a phase of transition from the reproductive to non-reproductive period. While postmenopause is characterized by a complete cessation of menstrual cy..
Although bladder injury is a documented complication of emergency cesarean sections, there is a scarcity of comprehensive studies evaluating its incidence and associ..
Heat stable carbetocin, a novel uterotonic can be used as a standard practice in vaginal and cesarean deliveries. It has been observed that lower doses of uterotonic..
Recent years have seen an increase in the diagnosis of benign gynaecological disorders, which has been linked to increased awareness and developments in diagnostic p..
A recent study evaluated the knowledge, attitudes, awareness, facilitators, and barriers to influenza vaccination uptake during pregnancy in urban Pune.This cross-se..
The goal of a recent study was to evaluate post-abortion contraceptive acceptance and factors influencing contraceptive use.In this prospective observational study, ..
National Iron Plus Initiative recommends – anemic pregnant women be treated with 200 mg of elemental iron and 1 mg of folic acid. The last two decades have recorded ..
A 25-year-old pregnant woman––at 31 weeks gestation––was admitted after a hypertensive episode during a dental procedure.Previously healthy, she had a pregestational..
Pregnancy may be associated with significant medical challenges in some women. Neurological complications in pregnant women can be broadly classified into two catego..
Urinary incontinence (UI) is now a World Health Organization health priority. Urge UI (UUI) is defined as urine leakage associated with a hurried and irresistible de..
PART- 2 ManagementA consensus from a pool of experts[ initiated by the Indian Society of Assisted Reproduction (ISAR)] to provide evidence-based and pragmatic clinic..
A report describes a case of a 41-year-old female, G6P6, who presented with a complaint of recurrent lower urinary tract symptoms (urinary frequency, urgency, and gr..
In 2015, the United Nations adopted the Sustainable Development Goals (SDGs), including a target to reduce maternal mortality (MM) by two-thirds – by the year 2030. ..
Cervical fibroids are uncommon––constituting 1-2% of fibroid cases––and present with an array of symptoms that can mimic other conditions such as large cervical poly..
Obesity has become a major global and national concern, particularly impacting women's health – and renders various adverse outcomes such as polycystic ovarian syndr..
A 13-year-old post-menarchal girl presented to the emergency department with acute abdominal pain, nausea, and stranguria. She was an athlete who had recently traine..
The relationship between elevated uric acid (UA) levels and adverse pregnancy outcomes has been well-documented. However, there is currently insufficient evidence to..
A recent study that compared trial of labor after cesarean section (TOLAC) with planned repeat low transverse cesarean section (RLTCS) in a cohort of 794,278 obese p..
A forum discussion including experienced gynecologists of India, discussed their clinical experience, views, and opinions on the Dinoprostone vaginal insert's role i..
A report describes a case of a 27-year-old woman with G1P0 who underwent primary low transverse cesarean section without any intraoperative and postoperative complic..
Obstetric anal sphincter injuries (OASIS), encompassing third- and fourth-degree perineal lacerations, remain a significant concern in vaginal deliveries, particular..
Curettage has been widely performed for removing retained products of conception. However, hysteroscopic removal is used as an alternative because of the potentially..
A recent study that examined the relationship between stillbirth and various perinatal outcomes in subsequent pregnancy by conducting a systematic review and meta-an..
A 25-year-old young woman presented with a sudden onset of loss of consciousness and was drowsy and arousal but slept again quickly. She was highly disoriented while..
A new study aimed to investigate how women with Mayer–Rokitansky–Küster–Hauser (MRKH) syndrome perceive their experiences with dilation or surgical vaginal lengtheni..
The goal of a study was to systematically review the objective and subjective success rates and surgical outcomes of suburethral sling surgeries for females with str..
Prenatal invasive tests, such as chorionic villus sampling (CVS) and amniocentesis, are frequently performed on women at high risk for having a child with aneuploidy..
An accessory cavitated uterine mass (ACUM) is a rare Müllerian anomaly characterized by an extra cavity in the uterus alongside a normal uterine cavity. This conditi..
Chronic pelvic pain (CPP) remains a serious issue affecting up to 26.6% of women globally. Pelvic pain symptoms include dysmenorrhea, dyspareunia, non-cyclical pelvi..
A recent study proposed an appropriate management strategy for managing pregnant women with complicated type B aortic dissection in the second or third trimesters by..
Concomitant use of efavirenz-based antiretroviral therapy and a standard-dose etonogestrel contraceptive implant causes 82% lower etonogestrel exposure than women wh..
A report describes a case of a 28-year-old female who complained of acute urinary retention and a history of severe cyclical dysmenorrhoea along with dull, aching lo..
A new study examined pelvic floor dysfunction (PFD), including urinary incontinence (UI), fecal incontinence (FI), and prolapse, in women 20+ years after childbirth,..
The superovulation phase heavily influences the success and cost-effectiveness of assisted reproductive technology (ART). Previous studies have shown that using the ..
Hypertensive disorders of pregnancy (HDP), including preeclampsia, are linked to an increased risk of maternal cardiovascular disease, stroke, and chronic kidney dis..
A 55-year-old postmenopausal woman presented to a tertiary care center with a two-year history of a mass protruding per vaginum. The lady had been menopausal for the..
Anemia during pregnancy is a prevalent health issue influenced by various factors, posing a significant public health challenge in India. Globally, approximately 2.3..
Iron deficiency anemia (IDA) is a significant global health issue and is particularly concerning for pregnant women as it can lead to complications for both the moth..
The endometrium is a dynamic organ in the female reproductive years, influenced by hormonal changes during each menstrual cycle. The aim of a recent study was to cor..
A 24-year-old nulligravida woman presented with dyspareunia. She had a history of primary amenorrhea and had been married for 5 months. She was 163 cm tall..
Infertility is a significant modern health problem, and with the rise of obesity, its impact on fertility cannot be overlooked. Obesity is associated with various ch..
A recent study evaluated the clinical importance of employing real-time three-dimensional transperineal ultrasound along with a combined magnetic and electrical repa..
The recent study assessed the impact of laser-assisted hair removal (LAHR) on the quality of life in women with polycystic ovary syndrome (PCOS)-associated hirsutism..
A report describes the case of a 48-year-old P4L4 woman who complained of chronic lower abdominal pain and frequent heavy menses for two months. She documented no si..
The timing of pregnancy following laparoscopic sleeve gastrectomy (LSG) and its implications remain debated in literature.A recent study assessed midterm weight lo..
The goal of a recent study was to evaluate the clinical effectiveness of combining warm acupuncture with Kegel exercises in treating postpartum pelvic floor dysfunct..
Current gestational weight gain recommendations for women with obesity may be too high, and guidelines might need to vary based on the severity of obesity. A recent ..
A 49-year-old parous postmenopausal woman presented with increasing hair growth on her chin and neck two years after menopause. She was under treatment for hype..
Hypertensive disorders of pregnancy (HDP) are frequent complications that significantly impact maternal and neonatal health globally. Long-term cohort studies have s..
Hirsutism – a major concern for women with polycystic ovary syndrome (PCOS), is associated with psychological distress. Hence, effective management of this condition..
A recent study compared three conservative treatment options for postpartum urinary incontinence (UI) – standard care, pelvic floor muscle training (PFMT), and vagin..
A 24-year-old nulligravida married woman presented with dyspareunia and a history of primary amenorrhea.The lady had been married for 5 months. She was 163 cm tall a..
A new study aimed to evaluate the characteristics, efficacy, and safety of zuranolone in managing postpartum depression (PPD).This study entailed literature searches..
The cumulative effect of postpartum weight retention from each pregnancy can contribute to a woman’s risk of developing type 2 diabetes (T2D) and cardiovascular dise..
A 39-year-old primigravida was admitted at 31 weeks gestation for suspected preterm labor. The lady had a history of polycystic ovarian syndrome (PCOS) and autonomic..
Pelvic floor disorders (PFD) affect approximately 40% of women after childbirth, yet little is known about the intervention and care needs for those with postpartum ..
Lifestyle factors such as – sleep, sedentary behavior, physical activity (PA), or exercise, and diet can influence the risk of postpartum depression (PPD) or serve a..
Hirsutism is a prevalent endocrine disorder with causes ranging from benign and idiopathic conditions to serious malignant diseases. It negatively impacts the qualit..
A 28-year-old woman, G2P1L1, with a BMI of 32 and a homemaker, presented with no significant surgical history or history of teratogenic drug intake. She had a family..
The age at menarche serves as a crucial biological marker for women and is also viewed as an indicator of a population's quality of life. Understanding the age at me..
Despite the existing literature on dydrogesterone, there is a significant gap in studies focusing on its utilization patterns among Indian patients.This multicenter,..
A new study compared the cesarean section (CS) rate after elective induction of labor versus expectant management in low-risk nulliparous women – at 39 weeks gestati..
A 12-year-old girl complained of lower abdominal and right iliac fossa pain, accompanied by vomiting. She had no fever, chills, urinary symptoms, or diarrhea. H..
A recent study aimed to evaluate the impact of treating subclinical hypothyroidism (SCH) on short-term pregnancy outcomes.This retrospective cohort study analyzed da..
Uterine leiomyomas, or fibroids, are common benign gynecological tumors that affect many women during their reproductive years. Although surgical removal has traditi..
The relationship between age at menarche (AAM) and the risk of gestational diabetes mellitus (GDM) remains unclear. The aim of a Mendelian randomization (MR) analysi..
The patient, a 74-year-old G4P4 female, reported new-onset postmenopausal vaginal bleeding characterized by the passage of multiple small clots and sudden vaginal pr..
Late onset of menarche and early menopause elevate the likelihood of depression. Additionally, the use of oral contraceptives and menopausal hormone therapy height..
Induction of labor (IOL) is a common in obstetrics; often, labor needs augmentation and active management during the second stage. However, methods for labor and i..
Urinary incontinence (UI) is a common yet often overlooked issue in women, profoundly affecting their psychosocial well-being. Current estimates seem to underestim..
A 25-year-old woman who was 31 weeks into her first pregnancy, was hospitalized following a hypertensive episode during a dental procedure. She had been reportedly..
Menarche is a significant event in a woman's life as the time of its onset can influence the development of future pathologies. A review of current literature aimed ..
Premature rupture of membranes (PROM) in term pregnancies without subsequent uterine contractions presents significant risks for boththe mother and fetus, and later ..
Vaginismus – a complex condition, is characterized by heightened muscle tension, pain, anxiety, and fear––primarily due to psychosocial factors––making vaginal penet..
A 31-year-old postpartum womanwas hospitalized eight days after delivery due to worsening abdominal pain. She had no history of vascular disease or significant medic..
The relationship between age at menarche (AAM) and blood pressure (BP) has primarily been explored in studies fromdeveloped nations. The aim of a study was to system..
A new study aimed to determine whether planned cesarean delivery (C-section) in women at over 37 weeks gestation with severe preeclampsia reduces maternal and/or per..
Polycystic Ovary Syndrome (PCOS) is a prevalent hormonal disorder affecting 5-10% of women globally, marked by irregular menstrual cycles and ovarian cysts. An early..
A 41-year-old woman – gravida 6 para 6, was admitted with recurrent LUTS for seven months, including – frequent urination, urgency, and gross hematuria. The lad..
Adolescence is marked by significant physical and psychological changes. Early menarche, occurring before the age of 11 years, is a notable health concern that remai..
Gastrointestinal and bowel movement problems are common after abdominal surgeries. As coffee promotes bowel movements and given the high rate of cesarean sections (C..
Uteroplacental insufficiency – characterized by inadequate blood flow to the placenta during pregnancy, necessitates an understanding of its underlying placental pat..
A 28-year-old woman, para 3, was referred to a tertiary care hospital with severe postpartum hemorrhage (PPH) and severe anemia following a ventouse-assisted vaginal..
Premature ovarian insufficiency (POI)/Premature ovarian failure (POF)/Early menopause/Premature menopause refers to the termination of ovarian function in women less..
12.5% to 69% of women with human immunodeficiency virus (HIV) have pre-invasive lesions (PIL) of the cervix. Although the Papanicolaou (PAP) test is the recommended ..
Gynecologists frequently perform hysterectomies globally. Women after hysterectomy often complain of Low back pain, hip and knee osteoarthritis, weight changes, fati..
A report describes the case of an 18-year-old, unmarried adolescent who presented with complaints of intense itching sensation in the vulval region for the past five..
Adolescence is a critical time in human development, associated with various psychological, social, and physiological challenges. Recent studies highlight the prev..
Post-cesarean section analgesic plan aims for effective pain relief with minimal side effects, no risk of transfer via breast milk, and a rapid return to normal ma..
Vaginal candidiasis is a common vaginal fungal infection. It is mainly caused by Candida albicans, which produce the symptoms and signs of vaginal candidiasis. The..
A report describes a case of a 26-year-old female, primigravida, at 32 weeks of gestation, who presented with a complaint of difficulty in walking and getting out of..
There has been evidence of an increased risk of obstetric outcomes and complications in pregnancies conceived by in-vitro fertilization (IVF) in comparison to spon..
Women diagnosed with ectopic pregnancy (EP) have to take methotrexate and are often concerned with its side effects. The present study evaluated the potential effect..
Congenital anomalies of newborns can cause significant psychological, social, and financial burdens on the family and society. Hence, screening techniques for the ea..
A report describes a case of a 35-year-old primigravid who presented at 38 weeks of gestation with gestational hypertension, thrombocytopenia, and large subserosal f..
Symptomatic vaginal masses pose a diagnostic challenge due to their diverse clinical presentations and outcomes. These variations carry significant implications for ..
Maternal use of Valproate during pregnancy may increase the risk of neurodevelopmental disorders in children. There is a lack of data on the risk of autism spectrum ..
A recent study explored the risk factors for tubal rupture in tubal pregnancy, followed by the construction and validation of a prediction model for tubal rupture.Th..
A report describes a case of a 24-year-old primigravida who presented at 34+1 weeks' gestation with abdominal pain of 24 hours. She also reported feeling less fetal ..
The body mass index (BMI) before pregnancy and gestational weight gain (GWG) may determine the pregnancy outcome. Preeclampsia, gestational diabetes, and macrosomi..
Tubal patency has an important role in female infertility, with tubal damage accounting for a significant portion of cases, restricting gamete and embryo transfer..
Arterial stiffening may worsen insulin resistance, demanding pharmacological treatment of gestational diabetes (GDM). A recent observational study investigated cau..
A report describes a case of a 24-year-old nulligravid woman who presented with a three-month history of persistent lower abdominal pain. Clinical examination sho..
Regular menstruation is a fundamental indicator of women's reproductive health and quality of life. However, menstrual disorders affect many women, which is due t..
Cervical region massage involves applying light pressure to the cervix to trigger uterine contractions. Membrane sweeping, aka cervical sweeping or membrane stripp..
A recent study examined the efficacy and safety of colloidal nanosilver gel, when combined with 0.2% lactic acid, in treating bacterial vaginosis, vulvovaginal candi..
A report describes a case of a 41-year-old woman with a history of three cesarean sections and two miscarriages who presented at 25 weeks of gestation and was adm..
अस्थमा सांस से जुड़ी एक ऐसी बीमारी है जो आपके फेफड़ों को प्रभावित करती है, इसे ब्रोन्कियल अस्थमा (bronchial asthma) भी कहा जाता है, वहीं आम भाषा में दमा या सांस की..
Congenital uterine anomalies stem from irregular development of the Mullerian ducts, potentially leading to adverse reproductive consequences such as recurrent mis..
Abnormal uterine bleeding (AUB) is a prevalent condition among women of reproductive age––affecting approximately 10-30% of this demographic. It imposes significan..
A study evaluated the effectiveness of robotics in gynecological surgeries––encompassing both benign and malignant cases.This retrospective observational study was ..
A 31-year-old woman was hospitalized due to an excruciating abdominal pain eight days after a vaginal delivery. The lady had no history of vascular issues or releva..
Anemia during pregnancy is a significant health concern globally, which risks not only to maternal health but also to the infant. Despite considerable efforts to add..
A recent study that contrasted sclerotherapy and laparoscopic ovarian cystectomy regarding the recurrence rates of ovarian endometrioma, dysmenorrhea, dyspareunia, a..
Women with low ovarian reserve who opt for in-vitro fertilization (IVF) treatment need to choose between natural and mildly stimulated cycles. However, the superiori..
A recent report describes a case of a 28-year-old female, gravida 2, para 1, who presented at seven-week gestation for routine antenatal care.The patient reported no..
Obstetric emergencies pose a significant threat to maternal health globally, with postpartum hemorrhage (PPH), hypertensive disorders, and pregnancy-related infec..
Breastfeeding is universally recognized as the optimal method of infant nutrition. However, women who have undergone cesarean deliveries may face challenges with m..
A tubo-ovarian abscess (TOA) presents a challenging clinical scenario, with treatment options ranging from medical therapy with antibiotics to surgical drainage. ..
A report describes a case of a 12-year-old girl presented with lower abdominal and right iliac fossa pain associated with vomiting but without fever, chill, urina..
Polycystic ovarian syndrome is often reported among women of reproductive age. It features menstrual abnormalities, hyperandrogenism, and polycystic ovaries, which m..
Disseminated intravascular coagulation (DIC), a potentially fatal condition, occurs secondary to an underlying disorder, with abruption being the most common cause i..
Preeclampsia (PE) and various hypertensive disorders complicate approximately 10% of pregnancies globally and pose a significant risk to maternal health. PE is parti..
A report describes a case of a 60-year-old para 7 woman who presented with abdominal distension and discomfort for two months and anorexia and nausea for three month..
COVID-19 vaccines are deemed safe during pregnancy. Since neonates can suffer severe illness, maternal vaccination is vital for potentially safeguarding them.This ..
The goal of a study was to evaluate the efficacy of magnesium sulfate as a neuroprotective measure during early preterm labor (28 to 32 weeks) and to assess any a..
Many women experience disruptions in their menstrual cycles at different stages of life. The occurrence of such irregularities is influenced by two primary factors..
A 17-year-old unmarried female presented to the gynecology department with complaints of persistent lower abdominal pain and distension lasting for 25 days.On ex..
The objective of a recent study was to assess the occurrence of gestational diabetes mellitus (GDM) and analyze its impact on maternal and fetal outcomes in pregna..
Hypertensive disorders during pregnancy are associated with elevated maternal and perinatal mortality and morbidity. The etiology of pregnancy-induced hypertension..
Intrahepatic Cholestasis of Pregnancy (ICP) – a condition that occurs in the latter half of pregnancy, is characterized by pruritus and abnormal liver function tes..
A 28-year-old second-gravida, with a history of a previous miscarriage, was admitted at 37.3 weeks of gestation due to severe abdominal pain. The pain was acute an..
A new study aimed to explore patients' awareness and perceptions of robot-assisted surgery (RAS) in the Obstetrics and Gynecology outpatient department – to enhance ..
The objective of a study was to compare the effectiveness and safety of norepinephrine (NE) and phenylephrine (PE) infusions in preventing post-spinal hypotension ..
New onset seizures in pregnancy and postpartum are often deemed as eclampsia. Nevertheless, other causes cannot be neglected, and prompt diagnosis and specific mea..
A 27-year-old nulliparous woman experienced sudden, colicky lower abdominal pain lasting for 30 minutes. Her pain radiated to the back and was accompanied by four ..
A new study aimed to determine the prevalence of maternal near miss (MNM) and maternal death in women with eclampsia – using the World Health Organization (WHO) crit..
The goal of a study was to compare the analgesic effectiveness of intrathecal fentanyl and intrathecal buprenorphine as adjuvants to bupivacaine in cesarean sections..
A new study evaluated the efficacy of double-balloon cervical ripening catheter insertion for terminating cesarean scar pregnancy (CSP) before nine weeks of gestatio..
A 38-year-old primigravida presented to the emergency department with a four-day history of fever, generalized rash, and pruritus. The lady was diagnosed with a urin..
Gestational diabetes mellitus (GDM) and impaired glucose tolerance (IGT) are significant global health concerns, particularly affecting perinatal metabolism and endo..
A randomized, controlled, comparative study conducted from 2022-2023 at Gandhi Hospital evaluated the efficacy of oral dydrogesterone versus oral sustained-release m..
Preterm labor is a major contributor to perinatal morbidity and mortality globally, with preterm birth responsible for 75% of neonatal deaths and 50% of long-term mo..
A 35-year-old woman presented with gradually worsening abdominal pain over the past 15 days. The pain was accompanied by two episodes of vomiting and vaginal bleedin..
Applying gentle pressure to the cervix during cervical massage stimulates uterine contractions. Membrane sweeping, also referred to as cervical sweeping or membrane ..
Obstetric hemorrhage stands as the primary contributor to maternal mortality and morbidity globally. The goal of aprospective observational study was to investigate ..
A new study evaluated the effectiveness of extended first-trimester screening (EFTS) in the early detection and management of preeclampsia.This study enrolled a coho..
A 49-year-old woman of moderate build and normal body mass index (BMI) presented with heavy menstrual bleeding with blood clots for the past two months––and required..
Screening for Methicillin-resistant Staphylococcus aureus (MRSA) is a common practice in many hospitals, particularly for high-risk patients. However, its occurre..
Abnormal uterine bleeding (AUB) is characterized by irregularities in menstrual cycles, encompassing variations in frequency, duration, or volume of bleeding durin..
Improper development of the Mullerian ducts causes congenital uterine anomalies, which are linked to adverse reproductive outcomes such as – recurrent miscarriage,..
Abdominal pain is a commonly reported issue during pregnancy and has a wide range of potential causes – one of which is spontaneous adrenal hemorrhage (SAH). While..
There has been a significant rise in the rates of cesarean sections (C-sections) worldwide, whether it is medically necessary or elective, surpassing the recommend..
An observational study aimed to assess the impact of a combination of drugs on women experiencing menstrual irregularities due to Polycystic Ovary Syndrome (PCOS)...
The timely identification of deviations in labor progress and the prevention of prolonged labor are crucial to improving pregnancy outcomes. The partograph serves ..
A hyper-estrogenic state characterizes pregnancy. The trigeminal system, abundant in estrogen receptors, becomes particularly susceptible to trigeminal neuralgia –..
Recent advancements in medical science have significantly contributed to the optimal care provided to women during their pregnancy journey. Rigorous monitoring, i..
Effective pain management during labor is a crucial aspect of quality obstetric care. Although the intense pain experienced during labor is not life-threatening, i..
A recent study aimed to investigate whether the antenatal assessment of cross-sectional area (CSA) of umbilical cord variables differs between pregnancies with pr..
An 11-year-old girl presented with a two-day history of intermittent left lower abdomen pain and dysuria, followed by non-projectile vomiting for one day. The ch..
A new study aimed to create a predictive model for postpartum readmission due to hypertension and pre-eclampsia at delivery discharge. The model's external validati..
Pregnancy progression beyond term increases the risk for perinatal morbidity and mortality. To mitigate the complications associated with post-term pregnancy, labo..
In several developed countries, menstrual cups are recognized as a feasible alternative to traditional menstrual hygiene products. However, the prevalent practice ..
A 30-year-old woman was hospitalized for labor induction at 40 weeks and 6 days gestation. She had a history of three prior uncomplicated vaginal deliveries. Follo..
A new study evaluated the effectiveness of structured workshops in enhancing the knowledge and skills of obstetrics and gynecology residents related to high-grade pe..
Polycystic ovary syndrome (PCOS) – a common endocrinological disorder, affects women of reproductive age and heightens their risk for metabolic syndrome. While body ..
A study aimed to evaluate the practical effectiveness and safety of an FDA-cleared intrauterine vacuum-induced hemorrhage-control device for managing postpartum hemo..
Unintentional retention of broken suture needles is a rare event in obstetric procedures, particularly during pregnancy, and is rarely documented in literature. A 36..
A recent aimed to investigate whether women with spontaneous preterm birth (PTB) face elevated risks of long-term mortality. This retrospective cohort study ..
A new study assessed whether the modified Berger-Allen exercises are efficacious in reducing lower limb swelling in late pregnancy.This randomized clinical trial ..
The goal of a new study was to identify accurate predictors of the spontaneous resolution of tubal ectopic pregnancy and to assess the feasibility of expectant ma..
A 27-year-old primigravida at 23 weeks of gestation was referred due to polyhydramnios in a spontaneously conceived MCMA (monochorionic monoamniotic) twin pregnan..
A new study evaluated the effectiveness of virtual reality (VR) technology in attenuating pain and anxiety during hysteroscopy.This prospective, randomized contro..
Sheehan’s Syndrome (SS) is a significant but often underdiagnosed cause of hypopituitarism, particularly in developing countries. This syndrome is characterized by..
A recent study investigated maternal and neonatal outcomes associated with planned elective labor induction (eIOL) – between 39 weeks and 39 weeks and 6 days of ge..
A 31-year-old woman presented with a right lower quadrant abdominal pain. She had had an uncomplicated vaginal delivery a week prior. An ultrasound revealed fluid co..
A new study aimed to demonstrate that continuous wound infiltration (CWI) is not inferior to continuous intravenous fentanyl (IV) in providing pain relief, and also ..
A recent study aimed to assess the utility of spot urinary albumin/creatinine ratio (UACR)––measured between 17 and 24 weeks of gestation––in predicting the subseque..
A recent study aimed to compare the outcomes of emergency and elective cervical cerclage in singleton and twin pregnancies – over five years at a tertiary care perin..
A 41-year-old woman presented with a spontaneous pregnancy. She had a history of three cesarean sections and two miscarriages.Previously, a gestational sac was obser..
In India, there is a significant prevalence of nutritional anemia caused by deficiencies in iron, folic acid, and vitamin B12. The National Anaemia Control Program..
Cardiotocography is widely used to assess fetal well-being during pregnancy and labor. Previous guidelines had focused on managing the most severe waveform, neglec..
Significant differences in serum-free androgen index (FAI) exist between individuals with polycystic ovary syndrome (PCOS) and those without, and determining an appr..
A 36-year-old lady, P3L3A1, who had undergone three previous cesarean sections (LSCS) with retained placenta and experienced profuse vaginal bleeding––including a fe..
A recent study focused on the occurrence of endometrial cavity fluid in Assisted reproductive technique (ART) cases.This was a prospective randomized controlled tri..
Stillbirth is a tragic complication of pregnancy, causing emotional, social, and economic disruptions. Various factors, such as advanced maternal age, smoking, obe..
Preterm birth is a significant issue in developing countries, causing neonatal and infant morbidity and mortality. In southern India, the prevalence of preterm del..
Fetal growth restriction (FGR), oligohydramnios, and preeclampsia are significant contributors to both neonatal and maternal morbidity and mortality, occurring in 8-..
Obesity is a significant public health concern, resembling an epidemic due to its prevalence across various demographic groups without discrimination based on age,..
The Rotterdam criteria are widely used to diagnose polycystic ovary syndrome (PCOS), and Transvaginal ultrasound (TVUS) plays an important part. The identifying fe..
A new study aimed to assess whether elective single embryo transfer is less effective in achieving pregnancy rates compared to double embryo transfer in patients w..
A 27-year-old pregnant woman presented with pain, swelling, and bleeding from her left foot and reduced fetal movement after enduring a snake bite. The lady w..
Polycystic Ovary Syndrome (PCOS) is a prevalent and complex condition affecting women of reproductive age, with far-reaching clinical and public health implications...
A recent research investigation examined the safety and practicality of administering a low-concentration carbohydrate solution to patients with gestational diabetes..
The presence of meconium in the intrauterine environment during childbirth can arise from factors such as fetal hypoxia or could simply indicate the natural maturati..
A report describes a case of a 28-year-old primigravida with 35 weeks of gestation who presented with severe nausea, vomiting, and considerable fatigue five days bef..
Endocrine-disrupting chemicals (EDCs) are the hidden offenders that have entered our daily lives, silently altering our endocrine system and causing numerous adverse..
Handling the aftercoming head in obstetrics can be quite challenging, and its entrapment is often a daunting situation for obstetricians. To prevent such scenarios, ..
Infertility is a pervasive issue affecting women worldwide, leading to countless cases of reproductive challenges every year. This study sought to assess the efficac..
A report describes a case of a 38-year-old lady, para 2 live 2, sterilized, who complained of a painless mass descending per vaginum for seven years. She reported th..
A recent study aimed to investigate the connection between atherogenic dyslipidemia and preeclampsia development during pregnancy – which could subsequently increase..
The maternal mortality rate (MMR) is often used as an indicator of healthcare quality. Postpartum hemorrhage (PPH) is a leading cause of maternal morbidity and mor..
Prenatal screening using dual and quadruple marker testing is a cost-effective approach, but it has its limitations, potentially leading to false positives and neg..
Placenta accreta, an obstetric emergency associated with life-threatening risks, can also complicate abortions in the first and second trimesters – presenting as exc..
Polycystic Ovary Syndrome (PCOS) is a pervasive endocrine disorder affecting millions of women worldwide. It affects approximately 5% to 10% of women of reproductive..
Labor pain ranks among the most agonizing experiences for women. The use of pain relief measures during labor is crucial not only to alleviate maternal distress but ..
Recurrent pregnancy loss has a detrimental impact on the natural conception process, leading to adverse reproductive outcomes. While preimplantation genetic testing ..
A report describes a case of a previously healthy 30-year-old G4P3004 who presented to prenatal care at 31 weeks of gestation with a 4-week history of large crusted ..
Evidence suggests that conception through fertility treatments precipitates higher stress and anxiety levels compared to natural conception. Hence, women who undergo..
Cervical cancer is a significant public health concern, especially in developing countries, where approximately 80% of cases are diagnosed. Despite being a preventab..
Polycystic Ovarian Syndrome (PCOS), a prevalent endocrinopathy affecting 11.2% of reproductive-age women, is associated with metabolic and reproductive issues. In In..
A 39-year-old woman complained of severe umbilical pain and dysmenorrhea. The pain was initially limited to her menstrual periods but had later transgressed to a con..
Polycystic ovarian disease (PCOD) is characterized by hormonal imbalances, metabolic irregularities, and reproductive concerns. However, growing age-related concerns..
A recent study compared the efficacy of oral Mifepristone with that of intracervical Foley catheterization for induction of labor in term pregnancy. It also compared..
Women with obesity face fertility issues and also have limited access to fertility treatments. A recent paper provides the following guidelines in this regard-BMI as..
A recent report describes a case of a 59-year-old, P1L1, Previous LSCS with a diadelphic uterus with longitudinal vaginal septum who complained of postmenopausal ble..
Intrauterine infection during pregnancy triples the risk of postpartum hemorrhage and severe PPH and increases the likelihood of maternal blood transfusion by two to..
The present study evaluated whether triglyceride and glucose (TyG) indices are useful in identifying insulin sensitivity/resistance in women with polycystic ovary sy..
The present study measured pain using a visual analog scale (VAS) and analyzed its relationships with variables like menopausal status, parity, uterine and cervical ..
A report describes a case of a 30-year-old nulligravid woman who presented with abdominal fullness for about one month without any fever, chills, night sweats, or bo..
Natural childbirth is a remarkable and natural process, but it does come with potential risks, particularly to the perineum, where tears or episiotomies can occur...
Infertile women undergoing frozen embryo transfer (FET) cycles may not experience optimal endometrial growth with estrogens alone. Hence, the present study evaluated..
Intracytoplasmic sperm injection (ICSI) was meant to achieve fertilization in cases of severe male factor infertility. However, it is often used in cases of non-male..
A report describes a case of a 27-year-old primigravid woman in the 22nd week of gestation, parity 0/0/0/0 with no relevant medical history, who presented with acute..
Infertility is a profound source of socioeconomic stress among numerous couples. Despite remarkable technological advancements in the field of assisted reproduction,..
Trisomy 13 (Patau's syndrome), a chromosomal abnormality, has a poor prognosis. Fetal ultrasound helps in the early detection of trisomy 13. The present study descri..
The superiority of fondaparinux over low molecular weight heparin (LMWH) in treating recurrent miscarriages is debatable. The present study comprehensively compared ..
A report describes a case of a 20-year-old female who presented with abdominal cramping. She underwent a urine pregnancy test due to irregular menstruation history.&..
Postpartum is a challenging phase of life, marked by transformations both within and outside the body. Kumari A et al. emphasized this phase's frequently neglected a..
The abnormally sited placenta can be a fatal condition for pregnant women, and hence early diagnosis and management is crucial to decrease mortality and morbidity.A ..
Polycystic ovarian syndrome (PCOS) represents a combination of hyperandrogenism, chronic anovulation, and polycystic ovaries. It may lead to hirsutism and anovulator..
A report describes a case of a 15-year-old female gravida 1 para 0 (G1P0) who presented with shortness of breath. Her first-trimester sonography indicated the fetus ..
Myths about oral health during pregnancy are widespread and significantly affect pregnant women's dental habits and behaviors. Prabhudessai S. et al. explored miscon..
High blood pressure can occur in 5-10% of pregnancies and is a leading factor in perinatal mortality. The perinatal mortality rate is estimated to be three to five t..
The present study assessed and compared the efficacy and safety of mifepristone and misoprostol combination versus misoprostol alone for second-trimester termination..
A report describes a case of a 12-year-old girl who previously received a provisional diagnosis of suspected appendicitis and an exploratory laparoscopic procedure t..
Hyperemesis gravidarum, a severe form of morning sickness that affects a subset of pregnant women, has long been recognized for its debilitating physical effects. Ho..
Urbanization and industrialization in both developing and developed countries have increased environmental toxins, such as PM2.5, PM10, NO2, and ozone, that can affe..
Bacterial vaginosis (BV) is a frequently occurring yet not fully comprehended vaginal infection caused by multiple microorganisms. It commonly occurs in women in the..
A report describes the case of a 28-year-old woman, with a unicornuate uterus and multiple mid-trimester losses, with two failed McDonald’s cerclage. She presented w..
Preterm birth is a significant concern in obstetric care; both vaginal progesterone and cervical cerclage have been identified as effective interventions for its pre..
Anemia remains a prevalent and manageable issue among pregnant women worldwide, contributing to maternal and perinatal mortality. A recent study compared the efficac..
Gestational diabetes is characterized by varying degrees of carbohydrate intolerance that develop or are first recognized during pregnancy. Diabetes in Pregnancy Stu..
Cervico-isthmic pregnancy (CIP) poses a significant risk for placenta accreta, particularly with advancing gestational age. A 33-year-old primigravid woman was diagn..
Maternal health in India is undergoing a significant shift as the country moves towards an obstetric transition. This transition entails not only a sustained reducti..
Enhanced Recovery After Surgery (ERAS) is a well-established evidence-based management protocol for perioperative care that aims to expedite patient recovery. Howeve..
Polycystic Ovarian Syndrome (PCOS) is a complex hormonal disorder affecting women of reproductive age, characterized by hyperandrogenism, enlarged cystic ovaries, an..
A report describes a case of a 21-year-old healthy primigravida woman who previously had no surgical operations and was at 19 weeks and five days of gestation withou..
Labor induction, the artificial stimulation of uterine contractions, plays a significant role in modern obstetric practices. Mifepristone, a synthetic steroid hormon..
Over the course of two decades, the debate surrounding the safest laparoscopic entry technique has remained unresolved, lacking a consensus. To address this knowledg..
Anemia during pregnancy is associated with various maternal and fetal complications, including a higher risk of intrauterine growth retardation, prematurity, low b..
A report describes a case of a 34-years young, nulliparous woman who presented with a 34 weeks size mass abdomen which was of 6 months duration. She documented regul..
Iron-deficiency anemia (IDA) is a significant concern in pregnant and postpartum populations, and various international guidelines aim to provide recommendations for..
The present study compared the rates of surgical-site infections following continuous, with interrupted, subcutaneous tissue closure technique during cesarean delive..
The present study identified the risk factors for placental abruption in subsequent pregnancies among women experiencing their first pregnancy. A population-based ne..
A report describes a case of a 34-year-old primigravida at 37 weeks + 5 days POG who came in latent labor. A term scan demonstrated a fibroid of 11x 9 cm in the post..
Hirsutism, the excessive growth of hair in women, can be a distressing condition that affects their physical appearance and self-esteem. It is commonly associated wi..
Preterm birth poses significant risks to both maternal and neonatal health, with limited preventive strategies available, often requiring substantial resources. In 2..
Gestational diabetes is a growing concern worldwide. Researchers have recently explored the potential benefits of myo-inositol, a naturally occurring sugar found in ..
A report describes a case of a 23-year-old woman with a BMI of 18.2 kg/m2 who was admitted due to the presence of endometrial polyps (EPs) that had been detected ove..
Preconception diabetes has long been recognized as a significant risk factor for adverse birth outcomes. However, there is still a limited understanding of the eff..
Acne vulgaris and hirsutism are prevalent and distressing issues among females with polycystic ovary syndrome (PCOS). Effective treatment options are available; howe..
Vulvar discomfort and pathological leucorrhoea are common concerns in women with nonspecific vaginitis, vulvovaginal candidiasis, and bacterial vaginosis. This resea..
The patient presented with a 1-month history of vaginal discharge, initially suspected to be a yeast infection. However, further evaluation by her local provider rev..
Hirsutism – characterized by excessive terminal hair growth, can be caused by various factors. Predisposing factors for such male-pattern hair growth include – polyc..
European guidelines established several recommendations regarding the administration of corticosteroids for pregnant women:Corticosteroids may be given to pregnant w..
Vulvovaginal candidiasis (VVC) is a common opportunistic infection in women, primarily caused by Candida albicans. A recent study aimed to identify the risk fac..
Pelvic inflammatory disease (PID) is an infection that affects the upper genital tract in women, causing conditions like endometritis and salpingitis. Most cases are..
Preterm birth is a significant contributor to neonatal morbidity and mortality worldwide, yet current therapies offer limited efficacy in delaying birth and improvin..
Vaginitis is a common diagnosis in gynecological practice, with bacterial vaginitis (BV) being the most prevalent. The condition often stems from vaginal dysbiosis. ..
This comprehensive literature review investigated the reciprocal relationship between gestational diabetes (GD) and depression. The study examined GD in relation to ..
A 30-year-old woman presented with a history of infertility. The couple has tried unprotected copulation for several years. They had also undergone by multiple unsuc..
Postpartum depression (PPD) is a debilitating condition that affects many new mothers. Previous research has suggested that some women may be at increased risk of PP..
Astaxanthin (ASX) is a natural carotenoid compound that is found in numerous seafood and microorganisms. It induces several possible advantageous therapeutic effects..
Obesity has long been associated with a higher risk of complications during pregnancy and delivery, including the need for cesarean section. However, the role of ges..
A report describes a case of a 21-year-old woman who presented at 34 weeks of her first pregnancy for a routine prenatal check-up with unremarkable Past medical hist..
The rising prevalence of diabetes in pregnancy is a cause for concern, with numerous adverse outcomes for both mother and baby. In particular, the delivery of a larg..
Hirsutism is a condition that affects up to 20% of women and features excessive body hair in a male pattern distribution. It can cause significant psychological and ..
The present study evaluated the association between the dimension of deviation from appropriate gestational weight gain (GWG) and adverse maternofetal outcomes in wo..
A report describes a case of a 26-year-old woman G1P0A0 at 37+2 weeks with twin gestation presented with a 4-day history of pruritic erythematous- papules and plaque..
In recent years, several observational studies and animal clinical trials have established a connection between nutrition during different stages of life and the dev..
Acne vulgaris is a common problem for women during pregnancy and lactation due to hormonal and physiological changes that occur during these stages. Many effective a..
The commencement of the present study followed an increase in reports of menstrual disturbances post-vaccination and a lack of adequate inclusion of questions about ..
The present report describes a case of a 36-year-old primipara admitted at 39 weeks of gestation for labor induction to indicate a small-for-gestational-age fetus an..
Intrauterine passage of meconium may emerge due to fetal hypoxia or may merely indicate a normal gastrointestinal tract maturation. Umbilical cord blood pH is the be..
Infertility has now become a major problem in reproductive lives globally, detecting numerous females as infertile annually. The present study evaluated the efficacy..
Metformin is considered the gold standard insulin sensitizer and is popularly used to treat insulin resistance in polycystic ovary syndrome (PCOS), yet it may cause ..
A report describes a case of a 31 years old female with a history of 2 previous pregnancies, one cesarean delivery, and one abortion, who was spontaneously pregnant ..
The year of coronavirus disease 2019 (COVID-19) pandemic saw an altered sense of loneliness among new mothers. A recent study aimed to assess a new mother’s perspect..
Postpartum hemorrhage (PPH) contributes to nearly 35% of maternal fatalities worldwide. In 2017, the World Health Organization (WHO) recommended tranexamic acid coul..
Preeclampsia and gestational diabetes mellitus (GDM) are common complications associated with pregnancy, which affect birth outcomes and are linked to a long-term ca..
A 38-year lady––para 2, last childbirth 7 months back––complained of a mass emanating out of her vagina.She has first observed this eruption about 4 months back, whe..
Diabetes mellitus (DM) is a persistent metabolic illness resulting either from insulin deficiency or peripheral tissue resistance. DM makes the most prevalent compli..
Polycystic ovary syndrome (PCOS) is associated with numerous clinical symptoms and a high rate of infertility. Several lifestyle/dietary interventions have been inve..
The term before and during pregnancy is an important stage for addressing malnutrition. It can help lower the risk of noncommunicable diseases in mothers and the pas..
A report describes a case of a 22-year-old living donor liver transplant(LT) recipient who was enrolled for antenatal care. The patient received successful liver tra..
An article by Hernández-Cordero S and Pérez-Escamilla R. illustrates the current evidence about the major structural challenges in improving breastfeeding practices ..
The present study evaluated the safety and effectiveness of a ketamine-based anesthesia package to support emergency cesarean section in the unavailability of an ane..
Healthcare providers treating lactating women for nipple and breast pain often regard these symptoms as Candida albicans infections. However, multiple other conditio..
A report describes a case of a 52-year-old postmenopausal, multiparous woman who presented with a 2-day history of lower abdominal pain refractory to oral analgesia ..
The physiological and immunological changes in pregnancy makes the pregnant women more susceptible to respiratory viral infections, including COVID-19, than non-preg..
The present study assessed the efficacy, effectiveness, and safety of uterine balloon tamponade in managing postpartum hemorrhage.It searched electronic databases an..
Breastfeeding renders undeniable advantages; however, painful, sore nipples upset the mothers and may lead to stopping nursing before the commended time. Hence ..
A report describes a case of a 32-year-old White female who presented with a history of hormonal imbalance, including stage IV endometriosis, fibroids, infertility, ..
Atonic Postpartum Hemorrhage arises when the uterine muscles don't contract enough to close the placental blood vessels shut after childbirth, which can lead to life..
There is a lack of consensus regarding whether to prescribe prophylactic antibiotics in conjunction with manual placenta removal. The present study investigated the ..
Multiple studies have shown an association between breastfeeding and a reduced risk of epithelial ovarian Cancer. However, it remains unclear whether this risk reduc..
A report describes a case of a 17-year-old Taiwanese female who presented to the gynecology clinic with complaints of primary amenorrhea and the absence of secondary..
The risk of spontaneous preterm labor is increased 4-folds in pregnant women diagnosed with cervical polyp in in the first trimester of pregnancy and which are not r..
Vitamin D supplementation is widely prescribed for many lifestyles related and metabolic disorders. The present study assessed the status of Vitamin D concerning met..
Pelvic pain (PP) is a common complaint among pregnant women, which may arise due to several diseases, including obstetrics, gynecological, gastrointestinal, genitour..
Introduction Today in the world of investigations we have nearly forgotten the clinical diagnosis and presentation of some diseases and sometimes go for unneces..
Recommending maternal supplementation during lactation is usually unnecessary unless the mother's diet is inadequate. Continuing prenatal vitamins postpartum is gene..
Depression during pregnancy could affect the mother's health and breastfeeding efficacy. The present study determined the effects of cognitive-behavioral therapy(CBT..
A recent study tested the hypothesis that combined wake + light therapy improves mood in pregnant vs. postpartum depressed participants (DP) by differentially alteri..
A report describes a case of a 35-year-old woman, gravida 2 para 1, who had undergone bilateral Uterine artery embolization (UAE) with a gelatin sponge for postpartu..
A deeper understanding of risk factors for postpartum depression (PPD) is crucial for its prevention and screening. Hutchens BF and Kearney J. summarized and synthes..
Polycystic ovarian syndrome (PCOS), an endocrinological disorder, is common among women of childbearing age. Coronavirus disease 2019 (COVID-19), an acute respirator..
Magnesium and melatonin exert multiple beneficial effects like anti-inflammatory and antioxidant actions. The present study determined the effects of magnesium and/o..
A report describes a case of a 32-year-old female, gravida 4 para 3, who presented at 39 weeks and four days for induction of labor. She reported three previous norm..
Pregnancy-associated skin diseases or changes can be described as physiological (hormonal), pre-existing skin disease, and the development of dermatoses with a new p..
Atopic dermatitis (AD), an inflammatory skin disease of multiple phenotypes and endotypes, is highly prevalent in children. people of all ages, including active adol..
Striae distensae, aka stretch marks, are particularly associated with female sex, pregnancy, obesity, and/or hormonal change and are linear bands of benign dermal le..
A recent report describes a case of an 18-year-old nulligravida who initially presented with a complaint of 2 years of infertility and a known uterine septum. She re..
Maternal pre-pregnancy body mass index (BMI) and gestational weight gain (GWG) may cause offspring allergic disorders. However, associations observed in previous stu..
Data from the Centers for Disease Control and Prevention (CDC) from 2020, state that the average age of pregnant women in the United States is still rising. Observat..
The association of breastfeeding (BF) with postpartum depression (PPD) remains controversial.Currently, there is a lack of specific guidelines on the role of BF in m..
A report describes a case of a 36-year-old G6P5005 with no prenatal care and a spontaneous twin pregnancy of unknown chorionicity who presented with altered mental s..
A healthy microbiome is crucial in preventing illness and maintaining overall health, including reproductive health. Although the therapeutic advantages of probiotic..
The present study describes the pregnancy outcomes of patients who experienced pre-viable and peri-viable pre-labor rupture of membranes (PROM) after treating twin–t..
A rise in the number of patients with atopic dermatitis (AD) among pregnant women is recorded annually. Yet, the pathogenesis of AD during pregnancy remains unclear...
A report describes a case of a 19-year-old woman, gravida 2, para 1, admitted at 37 weeks of gestation with breech presentation. She suffered pregnancy complications..
The postpartum period also carries the time risk for the emergence of maternal postpartum depression. However, little is known about the overall maternal outcomes of..
Gestational weight gain (GWG), a modifiable risk factor, is associated with adverse birth outcomes. Studies have shown that providing multiple micronutrient suppleme..
The present study observed the effects of massage in supporting a mother in her pregnancy after a previous stillbirth. The client’s goal varied throughout her pregna..
A report describes a case of a 29-year-old woman who presented from an outside facility with vaginal bleeding and discharge; but without any abdominal pain or discom..
Pregnancy-associated osteoporosis (PAO) is a rare condition featuring skeletal fragility affecting women during pregnancy or postpartum. Normal pregnancy and lactati..
Evidence illustrates maternal intake, absorption, distribution, tissue-specific concentrations, and pregnancy outcomes with folic acid (fortification/supplementation..
The present study critically appraised and synthesized the best available evidence on the effectiveness of massage in reducing antenatal women's anxiety and/ or depr..
A report describes a case of a 46-year-old gravida 3, para 3-0-0-3 woman who presented with the inability to void completely for the last two days. She was anuric at..
Postpartum hemorrhage (PPH) remains the top cause of maternal death globally. Multiple uterotonic medications are available to prevent PPH; however, it is still unkn..
A recent study investigated the effect of sacral massage on the presence of meconium-stained amniotic fluid and the duration of fetal descent during labor in pregnan..
A recent study proved the potentialities of an integrated and sensorized childbirth platform as an innovative simulator for inexperienced gynecologists and obstetric..
A report describes a case of a 35-year-old patient who presented with persistent bleeding for over five weeks. She described a long history of dysmenorrhea and heavy..
Vitamin D supplementation in pregnancy improves neonatal calcium metabolism and weight gain. It is given as 400 international units (IU) per day and increased to 100..
A recent study compared the success rates and safety of two doses of methotrexate versus a single dose of methotrexate in ectopic tubal pregnancy.It included 100 wom..
There has been an association between the presence of hydrogen peroxide (H2O2)-producing lactobacilli in the vagina and decreased rates of preterm birth & HIV acquis..
A report describes a case of a 43-year-old pregnant woman with a history of spontaneous vaginal delivery at term with no complications who presented at 33 weeks of g..
Pathological complete response (pCR) after neoadjuvant chemotherapy (NAC) in patients with early breast cancer links with better survival. In the meantime, post-neoa..
A recent study elucidated the effects of neuraxial analgesia on labor in women classified based on the Robson classification system. It retrospectively reviewed the ..
A recent study compared conventional PAP smears (CPS) and liquid-based cytology (LBC) for cervical carcinoma screening at a tertiary care hospital. It included 265 w..
A report describes a case of a 30-year-old Japanese primigravida who conceived spontaneously and started pregnancy checkups in China. She presented with 28 gestation..
Initial trials of the COVID-19 vaccines excluded pregnant persons, which later caused their emergency use authorizations in the United States. Gray et al. demonstrat..
Patients who unintentionally became pregnant while taking a teratogenic drug could choose to have an abortion before late June. However, on October 7, 13 states bann..
It is crucial to prevent prenatal exposure to teratogenic drugs. With the US Food and Drug Administration Amendments Act in 2007, the US Food and Drug Administration..
A report describes a case of a 35-year-old gravida 5, para 2 (1122), who presented to the emergency room because of fainting and abdominal pain. She had a gestation ..
Congenital heart disease (CHD) is a serious and the most common birth defect; it affects 6-8% of all live births. Newborns with major CHD require a surgical procedur..
A new study published in Obstetrics and Gynecology evaluated fixed-dose versus weight-based enoxaparin dosing in optimizing the anti-Xa leve..
The goal of a study was to test the hypothesis that increased maternal body mass index (BMI) is associated with longer operative and anesthesia times, greater matern..
A 37-year-old pregnant woman complained of severe pain in the abdomen. She fainted shortly after the presentation in the gynecological department and was immediately..
Gestational diabetes mellitus (GDM) is a frequent metabolic complication of pregnancy. Its incidence is increasing worldwide, with 5–25% of pregnancies diagnosed wit..
Urge urinary incontinence (UUI) is the involuntary leakage of urine featuring urgency, frequency, and nocturia. Its current management strategies include behavioral ..
The present study assessed the prevalence of anemia in term and preterm pregnancies and compared maternal and perinatal outcomes among groups.This study compared the..
A report describes a case of a 28-year-old woman with pregestational type I diabetes, well controlled with a mix of insulin aspart and insulin NPH, at 21 weeks gesta..
A recent study on frozen donor egg in vitro fertilization (IVF) cycles published in a 2022 issue of Reproductive Sciences describes the use of quality fresh versus f..
A recent retrospective analytical study evaluated the risk factors and feto-maternal outcomes in mothers with Gestational diabetes mellitus. It included Antenatal pa..
A recent retrospective study investigated the recurrence of preterm birth (PTB) among the poorest half of the Brazilian population.It utilized the data about the liv..
A report describes a case of a 35-year-old woman, para 3, who presented with acute menorrhagia. She described a history of three prior cesarean sections, with the la..
A recent analysis published in Obstetrics & Gynecology considers screening for hepatitis B antibodies and vaccinating pregnant women without immunity to be a cost-ef..
Spontaneous membranes rupture after 37 wks of the gestations and before the onset of the regular painful uterine contractions is known as the Premature rupture of th..
In the year 2012, U.S. health care providers delivered >259 million opioid prescriptions (twice as many as in 1998). Nearly one in every ten women report using opioi..
A report describes a case of a 24-year-old unbooked primigravida who was 40 weeks post-date and had a spontaneous conception. She presented symptoms and signs of sev..
Laser technologies are rapidly emerging as a treatment option for numerous vaginal conditions, including vaginal atrophy, dryness, dyspareunia, pelvic pain, urinary ..
After all those tough ships through the history-making pandemic of coronavirus disease 2019 (COVID-19), it is time to consider the historical lessons about the vacci..
We still lack knowledge about the impact of Chlamydia trachomatis (CT) infection on female fertility since the level of evidence associating these factors ..
A report describes a case of a 46-year-old gravida 0 woman who came for a hydrosalpinx that she incidentally found a month ago. She was asymptomatic, without any com..
Groenen CJM et al. recently assessed the usefulness of a personal health record (PHR) in routine maternity care to improve the active participation of pregnant women..
Infective endocarditis (IE) is a rare but serious infection complicating pregnancy. However, its management and outcomes in this population remain unclear.A recent s..
A recent study compared pregnancy, miscarriage, and live birth rates and cycle monitoring parameters between Natural Cycle (NC-FET) and Hormone replacement cycle (HR..
A report describes a case of a 21-year-old female with a family history of breast cancer who sought treatment after being diagnosed with stage IC well-differentiated..
Women have distinct nutritional needs throughout their life. During pregnancy and breastfeeding, energy and nutrient needs increase. But in many parts of the world, ..
Leptin is produced by the white adipose tissue and the placenta during pregnancy. The pathophysiology of several disorders of reproduction and gestation, including p..
Discrimination between precocious puberty (PP) and premature thelarche (PT) is difficult. Hormonal testing (i.e., the GnRH stimulation test) is considered the gold s..
IntroductionThe outbreak of coronavirus disease 2019 (COVID-19) has received much attention due to its multi-systemic effects, including COVID-19-related neurologic ..
Women experience fluctuation in hormone levels during perimenopause, menopause, and postmenopause. If the hormonal levels are maintained low for a more extended peri..
A recent study aimed to design a standardized sonographic evaluation and reporting system for Cesarean scar pregnancy (CSP) in the first trimester, for use by both g..
Simulation is beneficial and effective in the intimate educational setting of transvaginal ultrasound (TVUS). Further, dyad learning (learning in pairs) has shown to..
A report describes a case of a 14-year-old girl who presented with primary amenorrhea and lower abdominal pain with a cyclical increase in severity for three months,..
Uterine adenomyosis is a commonly encountered estrogen-dependent disease in reproductive-age women, causing heavy menstrual bleeding, intense pelvic pain, and infert..
Endometriosis is an estrogen-dependent disorder defined by the presence of endometrium-like tissue in any extrauterine site, even those distant to the uterus, includ..
Perineal tear is a tissue lesion that occurs during vaginal delivery and is classified into four degrees: First-degree affects only the vaginal mucosa or perineal sk..
Abdominal pregnancy has historically been defined as implantation in the peritoneal cavity, exclusive of tubal, ovarian, or intraligamentary pregnancy. Abdominal pre..
Exclusive breastfeeding (EBF) is an important public health intervention for child health and survival. WHO recommends EBF for the first 6 months of life to achieve ..
Uterine leiomyomas are common, nonmalignant, gonadal steroid-dependent, monoclonal neoplasms. They are reported in about 70–80% of premenopausal women. Although many..
Maternal sleep-disordered breathing and sleep disruption possess adverse effects on pregnancy outcomes via numerous potential pathophysiologic pathways. A recent stu..
A report describes a case of a 25-year-old patient, Gravida 2, Para 1 with one living issue, with 2 months amenorrhea, who presented with bleeding per vaginum for 5 ..
Spontaneous preterm birth causes a major burden of childhood morbidity and mortality. The incomplete understanding of the molecular pathways that result in spontaneo..
Health practitioners caring for pregnant women and neonates frequently encounter placental histopathological reports with esoteric diagnostic entities of contentious..
Gestational Diabetes Mellitus (GDM) emerge as the commonest medical complication and metabolic disorder of pregnancy, showing a global prevalence of between 2% and 6..
A report describes a case of an 18-year-old primiparous with an estimated gestational age (EGA) of 35 weeks and 6 days who presented in preterm labour. She reported ..
Nearly 0.7%-3.34% of women experience multiple pregnancies globally. This variation is mainly due to increased use of assisted reproductive techniques, maternal age ..
The enhanced recovery after surgery (ERAS) protocol after a Cesarean section (CC) recommends fast mobilization of a patient along with providing psychological comfor..
The major burden of maternal mortality and morbidity is caused by immediate postpartum hemorrhage (IPPH), especially in developing countries. These limited resources..
A report describes a case of a 22-year-old primiparous female with a past medical history significant for repaired Tetralogy of Fallot, asthma, bronchiectasis, and p..
Platelet-rich plasma (PRP) is one of the most commonly used preparations in regenerative medicine. Regenerative medicine combines elements of molecular biology and t..
Preservation of female fertility is a fairly new domain in medicine that has grown very rapidly in recent years. Initially, embryo freezing stayed the most effective..
Postpartum hemorrhage (PPH) is reported in about 5% of deliveries. Its First-line treatment involves pharmacological measures, intrauterine tamponade, uterine artery..
A report describes a case of a 35-year-old woman (gravida 2, para 1) who presented with placenta previa at gestational week 31. She had an unremarkable medical histo..
Endometriosis – characterized by the presence of extra-uterine endometrial-like tissue, is common among women of reproductive age. Its prevalence is 10% and various ..
HELLP syndrome – a severe pregnancy complication associated with hypertension, is characterized by hemolysis, elevated liver enzymes, and low platelets. The conditio..
Spontaneous hemoperitoneum in pregnancy (SHiP), although rare, is strongly associated with maternal and fetal morbidity and mortality. Pregnant women with endometrio..
A 37-year-old woman was detected with a painful lower abdominal nodular mass. The lady had a history of an emergency cesarean section, 18 months ago, for preterm pre..
Optical coherence tomography (OCT) is a non-invasive diagnostics technique facilitates high resolution imaging of biotissues at depths up to 2 mm and offers utility ..
Prenatal screening has become standard of care with the advancements in maternal serum analysis and fetal imaging. These aid in early detection of fetal abnormalitie..
A recent study published in Midwifery investigated whether trait mindfulness during pregnancy may have a beneficial effect on breastfeeding intention.This was a pros..
A 26-year-old female was diagnosed with a with stage IC well-differentiated mucinous ovarian cancer. The lady had a family history of breast cancer. The prior diagno..
Breastfeeding is a key maternal activity, and the quality of this experience makes a substantial contribution to biological, social-emotional, and cognitive well-bei..
Urinary incontinence refers to loss of bladder control, varying from slight loss of urine after sneezing, coughing or laughing, to complete inability to control urin..
ABSTRACTPelvic exenteration is an ultra-radical surgical procedure that requires an en-bloc removal of some or all pelvic structures. The major indication for pelvic..
Background - A tubo-ovarian abscess is a complex infectious mass of the adnexa manifested with multiple clinical conditions such as fever, elevated WBC count, lower ..
Insufficiency of endogenous progesterone occurs in Luteal Phase Defect (LPD) which makes it difficult to maintain a functional secretory endometrium. Further, it als..
The incidence of multifetal gestations is increasing dramatically over the past several decades, which may be due to 1) a shift toward an older maternal age at conce..
Initial embryo transfer if followed by Embryo selection with preimplantation genetic testing for aneuploidy (PGT-A) may see pregnancy outcomes. However, how much PGT..
A report describes the case of a 32-year-old, gravida 3 para 2, pregnant woman. She had a history of hospitalization at 11 weeks of gestation due to back pain and fe..
Advantages of minimally invasive surgery are – shorter length of hospital stay, faster recovery, lower incidence of surgical site infections, less postoperative pain..
False negative test results pose serious concerns in a prenatal setting as it can cause the birth of an affected child. A study published in Diagnostics discusses ba..
Placental insufficiency can lead to impaired fetal growth and can impose adverse perinatal outcomes. Interventions to alter these pathophysiologic outcomes are lacki..
A 36-year-old lady, gravida 5, para 2 complained of a severe upper abdominal pain over the past day. The patient also reported acute diarrhea.She had endured two mis..
Fertility preservation can sometimes be challenging if the patients have a life-threatening disease or a problematic clinical predicament. One such example is the pa..
The Majority of the women suffering from any form of gestational trophoblastic disease can be successfully diagnosed and treated with preservation of their reproduct..
Trial of labour after cesarean (TOLAC) is a safe resort to repeat cesarean delivery in Pregnant people who have had a previous cesarean delivery or an elective cesar..
A report describes a case of a 14-year-old girl with ovarian mucinous adenocarcinoma who complained of lower abdominal pain for around 3 weeks and presented with a d..
Adverse events (AEs) come hand to hand in nearly every medical care. Obstetrics is unique as it encompasses a much heightened expectation concerning safety and inclu..
The advancements in genomic sequencing and the regular emergence of new information forbid taking a simplistic approach to fibroids. Fibroids affect nearly 80% of Bl..
SlowflowHD, a recent ultrasound Doppler imaging technology, permits evaluating flow even in tiny blood vessels. a proprietary algorithm separates low-speed flow from..
A report describes a case of a 36-year-old female, G2P0A1, who presented with transvaginal bleeding with clots and abdominal pain, located in the hypogastric region...
Fetal growth restriction (FGR) is described as the failure of the fetus to fulfil its growth potential because of a pathological factor-like placental dysfunction. I..
Caffeine is an addictive substance which is consumed on a regular basis by many pregnant women. Thus women must be advised founded on the available evidence regardin..
A Randomized Trial of Induction Versus Expectant Management (ARRIVE) trial has shown a reduction in adverse perinatal outcomes among low-risk nulliparous women at 39..
A case report describes a 24-year-old patient with a medical history of one early pregnancy miscarriage not requiring surgical intervention, bronchial asthma, animal..
Trainee and residency program performances can be evaluated by employing multiple tools including Accreditation Council for Graduate Medical Education (ACGME) standa..
Joint efforts of The European Society of Gynaecological Oncology (ESGO), the International Society of Ultrasound in Obstetrics and Gynecology (ISUOG), the Internatio..
Adenomyosis is characterized by the existence of endometrial epithelial and stromal cells within the myometrium. It is an enigmatic gynecological disorder and a hete..
Uterine leiomyomas affect nearly 30% of women more than 35 years of age. However, vulvar leiomyomas are rare and often misdiagnosed as Bartholin cyst preoperatively...
A recent study, collected the evidence, formulated the recommendations and discussed it within specialist subgroups which were then presented to the core guideline d..
Inflammation within the genital organs in women remains a crucial issue in gynecology and venereology. Understanding the factors contributing to the inflammatory pro..
Heart disease in pregnancy remains one of the prime causes of maternal mortality and morbidity in developing countries. However, the features of the disease differ b..
A report describes a case of a 52-year-old nulligravida woman who complained of intermittent vaginal spotting for 1 month, 2 years after menopause. She denied a hist..
During the pandemic, everyone was affected in one or the other way. The hospitals were overwhelmed with patients with Covid 19 while doctors were utilizing their nur..
The field of female pelvic medicine and reconstructive surgery (FPMRS) is a relatively new subspecialty in Obs/Gyn and urology. International Urogynecology Associati..
With the development of imaging methods, a fusion of MRI and Ultrasound data has grown in popularity, in particular in intestinal and prostate imaging. This techniqu..
Sigmoidal volvulus is a rare incidence ranging from 1 in 1500 to 1 in 66,431 deliveries. It is an intestinal obstruction in pregnancy associated with significant mat..
Microbiome is a term is used to signify the collective genomes of microorganisms in specific areas while microbiota refers to the community of microorganisms. The mi..
Interventional radiology is an invasive procedure requiring clinical knowledge, non-vascular and vascular technical interventional ability, as well as imaging skills..
This meta-analysis aims to review postpartum hemorrhage (PPH) as a pregnancy complication, post-uterine artery embolization (UAE), by exploring the interrelation bet..
A 32-year-old woman underwent an urgent cesarean delivery at 35 weeks of gestation due to antepartum bleeding caused by placenta previa. Post-delivery, hysterectomy ..
Truncus arteriosus communis (TAC) is a rare conotruncal birth defect of the heart. Truncus arteriosus occurs in less than one out of every 10,000 live births. There ..
Interventional radiology is infiltrating almost all specialities of clinical care including the fields of gynecology and obstetrics. Imaging skills, clinical knowled..
Genitourinary syndrome (GUS) is a common disease after menopause and occurs due to a sharp decline in estrogen levels. the North American Menopause Society describes..
AbstractMucormycosis is a severe fungal infection which is rare in clinical practice. This infection is usually acquired by inhalation; other portals of entry are in..
The arrival and the rapid diffusion of new viral infections at the end of 2019 astonished the scientists. Gynecological Endocrinology (2020), via its editorial, expl..
A prospective interventional study was conducted to evaluate the level of awareness about Antenatal and Postnatal care in rural women and the need of appropriate int..
A team of researchers led by Dr. Pensée Wu, senior lecturer at Keele University's School of Medicine, have discovered that women who conceive with assisted reproduct..
Pregnancy implantation within previous caesarean scar is one of the rarest locations for an ectopic pregnancy. Incidence of caesarean section is increasing worldwide..
Mental health conditions during delivery hospitalizations are not well described. A recent study characterized the prevalence of maternal mental health condition dia..
Limited data exist on the Recurrence of adnexal torsion (rAT). Normal and small appearing ovaries are found to have an increased risk for rAT. However, updated data ..
The term TORCH includes well-identified causes of perinatal infections i.e. toxoplasmosis, rubella, cytomegalovirus (CMV) and herpes simplex virus (HSV). A TORCH ser..
AbstractIn cases of atretic lower vagina drainage of hematocolpos per se is inadequate as recurrent hematocolpos from restenosis is common. Surgical reconstruction i..
A mother and her baby are inseparable. When there is a newborn, there is associated maternal care. A newborn always exists in a relationship with the mother. As awar..
Pain management following cesarean delivery usually involves the use of opioid medications. However, these drugs are associated with major side effects, such as naus..
Multifetal pregnancies are associated with a considerable increase in the risk of fetal and infant morbidity and mortality. The risk of stillbirth is increased about..
AbstractIntraperitoneal drains are usually inserted in abdominal surgery for the purpose of preventing fluid accumulation. However, the efficacy and safety of using ..
Abstract: Women on oral hormonal therapy for menorrhagia are at risk of cerebral venous thrombosis1 (CVT). This condition is characterized by intravascular clotting ..
Women with a previous cesarean delivery may opt for a subsequent vaginal birth or repeat cesarean. Vaginal birth after cesarean holds a more imminent risk of uterine..
The prevention and early diagnostics of precancerous stages hold a crucial position in contemporary oncology. The mutational topography of cancer is induced throug..
Tremendous scientific and technological achievements have caused revolutionization in the current medical era, changing how physicians practice their profession and ..
Medtalks is India's fastest growing Healthcare Learning and Patient Education Platform designed and developed to help doctors and other medical professionals to cater educational and training needs and to discover, discuss and learn the latest and best practices across 100+ medical specialties. Also find India Healthcare Latest Health News & Updates on the India Healthcare at Medtalks
