Infants under 3 months with severe respiratory syncytial virus (RSV) infections are less commonly linked to comorbidities compared to older children, according to fi..
Children who have been hospitalized with Mycoplasma pneumoniae infection are at a significantly higher incidence of experiencing asthma exacerbation. Children infect..
Children with early-onset atopic dermatitis (AD) are at an increased risk of developing asthma, allergic rhinitis, and food allergy, according to results of a study ..
We describe a preterm infant with congenital heart disease who developed severe neutropenia temporally associated with furosemide administration.The infant was born ..
Indolent Rhinovirus infections will be predictive of the future development of persistent wheeze, potentially leading to asthma, according to the findings of a study..
A new study published in the Journal of the Pediatric Infectious Diseases Society has found that most cases of acute otitis media in children aged 2 years and older ..
Among adults aged 65 years and older, who had severe asthma in childhood, only one in ten achieved asthma remission, while one in three experienced persistent airflo..
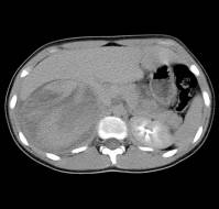
Introduction:Gastrointestinal tract duplication cysts are rare congenital malformations that may present with varied and nonspecific symptoms. Presacral masses in in..
Approximately 40% of children who undergo CT scans following blunt abdominal trauma have incidental findings, with ~4% requiring immediate evaluation and management ..
Risk factors for atherosclerotic cardiovascular disease (ASCVD) in adolescence such as hypertension, obesity, smoking, and hypercholesterolemia were independently li..
A nationwide survey of 1,003 Indian parents has highlighted significant gaps in awareness and preventive practices related to atopic dermatitis (AD) in children unde..
Introduction:The Paenibacillus genus comprises saprophytic, gram-variable, facultatively anaerobic organisms commonly found in soil, water, plants, feces, and diseas..
The skin of newborns and infants is uniquely delicate, far more vulnerable than adult skin, making it prone to trauma, infection, and delayed maturation if not prope..
Ultrasound-guided percutaneous central venous port (CVP) placement offers a minimally invasive approach for pediatric patients, but like many surgical techniques, it..
A new retrospective analysis has assessed whether acetaminophen, increasingly used for patent ductus arteriosus (PDA) closure, poses added risks to extremely preterm..
IntroductionCardiac tumors containing spindle cells are typically associated with malignant cardiac sarcomas. Reports of benign spindle cell tumors in the neonatal p..
Atopic dermatitis (AD) remains one of the most common chronic inflammatory diseases of childhood, frequently first encountered in primary care. Primary care provider..
Over the past few decades, there has been an alarming rise in pediatric hypertension cases. This trend not only poses immediate risks but also heightens the likeliho..
The three pathophysiologic contributors to septic shock are-• Different combinations of hypovolemia (relative > absolute)• Reduced vascular tone or vasoplegia • Myoc..
AbstractSensor-augmented pump (SAP) therapy is increasingly used to manage neonatal diabetes mellitus (NDM), offering continuous insulin delivery with real-time gluc..
Atopic dermatitis (AD) is among the most common pediatric sensitive skin disorders, yet parental awareness and preventive practices in India remain insufficiently un..
A cross-sectional study using data from the Pediatric Health Information System (2016–2021) demonstrates a significant association between community-level socioecono..
A new analysis from the National Health and Nutrition Examination Survey (NHANES) 2011–2018 sheds light on the important role of diet quality in early childhood resp..
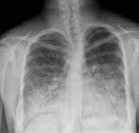
Fulminant pneumonia due to Mycoplasma pneumoniae (MP) is rare, despite the high prevalence of Mycoplasma infections in the general population. We report a case of at..
About half of the women with prelabor rupture of membrane (PROM) experience spontaneous labor following induction of labor at 24 hours compared to 12 hours. But they..
A new study published in the Journal of the Pediatric Infectious Diseases Society has found that most cases of acute otitis media in children aged 2 years and older ..
Among adults aged 65 years and older, who had severe asthma in childhood, only one in ten achieved asthma remission, while one in three experienced persistent airflo..
Pott’s tumor is a subperiosteal abscess secondary to frontal sinus osteomyelitis. We report a 5-year-old child who developed Pott’s tumor complicated by a frontal em..
Children with early-onset atopic dermatitis (AD) are at an increased risk of developing asthma, allergic rhinitis, and food allergy, according to results of a study ..
Infants under 3 months with severe respiratory syncytial virus (RSV) infections are less commonly linked to comorbidities compared to older children, according to fi..
Non-laboratory risk factors in adolescents such as age, sex, blood pressure, body mass index (BMI), and smoking can effectively predict cardiovascular outcomes as ad..
Supraglottic hemangiomas are rare vascular malformations of the larynx, particularly in children. They may cause life-threatening airway obstruction if not diagnosed..
An international consensus conference on pediatric sepsis (2005) established definitions for various terms, including systemic inflammatory response syndrome (SIRS),..
Atopic dermatitis (AD), a chronic and intensely pruritic skin condition, affects an estimated 2% to 42% of children globally. Beyond its visible skin lesions and int..
A recent article discussed the common and distressing experience of children undergoing peripheral venous cannulation in hospitals – emphasizing the deep-rooted pain..
An 11-year-old boy was admitted to the emergency department with a lesion on his right proximal lower leg, resulting from a previous injury that required sutures aft..
Monitoring growth in preterm infants is crucial but often limited by conventional methods such as fat-free mass (FFM) measurement. A recent study from the University..
Atopic dermatitis (AD) is a chronic inflammatory skin condition that affects up to 2% - 42% of children worldwide. Characterized by dry, itchy, and eczematous skin, ..
Intussusception, the invagination of a segment of the intestine into an adjacent lumen, is a common cause of bowel obstruction in infants and young children, with th..
Duodenum inversum is a rare congenital anomaly characterized by the retrograde and superior course of the third portion of the duodenum before midline crossing. Alth..
A recent study from Akola district, India, highlights the growing concern of excessive screen exposure among children aged 6 months to 6 years. Among 417 children su..
A recent study explored traditional remedies and supportive practices for diaper dermatitis among children, highlighting how cultural knowledge shapes child care. Co..
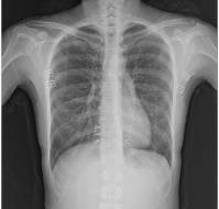
Lower respiratory tract infections (LRTIs) are a crucial cause of hospital admissions in children. The present study was conducted to analyze the epidemiological cha..
A 2-year-old boy, the first child of consanguineous parents, presented with global developmental delay. He could sit independently but had limited speech, using only..
A new clinical report published in Pediatrics provides revised guidance from the American Academy of Pediatrics (AAP) on treating children with atopic dermatitis (AD..
Low physical activity and high sedentary behavior during preschool are a growing concern, as they may affect children’s future cognitive development. A recent study ..
A recent study published in the Journal of Pediatrics explored the factors associated with prolonged length of stay (LOS) and delayed discharges among children refer..
A report describes the case of a two-year-old male who came to a pediatric clinic with a three-month history of intermittent vomiting, loose stools, and occasional w..
Preterm infants are highly susceptible to infections, which contribute significantly to morbidity and mortality. A recent systematic review and meta-analysis evaluat..
A recent study evaluated the effect of focused parental education on reducing screen time in early childhood. The trial enrolled 120 healthy term-born children aged ..
A recent multicenter study examined the relationship between nutritional and clinical characteristics and qPCR-confirmed bacterial diarrhea in children under two yea..
A report describes a case of a 5-week-old girl who presented with the complaint of decreased activity and feeds, poor suck, weak cry and lethargy for three days. She..
Atopic dermatitis (AD) is a chronic skin disease that affects 20–25% of children, having a real impact on the daily lives of both the children and their families. It..
Kawasaki disease (KD) is a systemic vasculitis that primarily affects children under 5 years of age and has emerged as the leading cause of acquired heart disease in..
Intravenous lipid emulsions are a cornerstone of nutritional support for very preterm infants. While many neonatal intensive care units have transitioned from soybea..
A report describes the case of a four-month-old male infant who presented with acute encephalopathy and symptoms of elevated intracranial pressure (vomiting, periods..
Neonatal sepsis because of multidrug-resistant (MDR) organisms is an increasing concern, with Southeast Asia facing the highest burden. Evidence remains limited, b..
As a chronic skin disease, atopic dermatitis (AD) often leads to inflammation, pruritus, and sleep disturbances in children. A study by Asha Babu and colleagues ev..
Children from lower-income families tend to achieve smaller weight loss in family-based programs, often because of difficulties attending sessions and following r..
A report describes a case of a previously healthy 2-year-old girl who presented with six days of productive cough, high fever, and poor appetite. She was fully im..
A study conducted in urban Southern India found that infants who were exclusively breastfed (EBF) during early infancy had higher fat mass and lower fat-free mass ..
A recent study has found that hyperglycemia in very-low-birth-weight (VLBW) infants is linked to increased risks of serious complications, including retinopathy of..
A recent study evaluated the efficacy and safety of using systemic targeted therapies for atopic dermatitis in children. The analysis aimed to clarify the benefits..
A report describes a case of a 6-year-old girl who presented with swelling on the lateral dorsum and little toe of her right foot, initially measuring approximatel..
Children with atopic dermatitis (AD) pose a higher risk of peanut allergy. However, these children may have more raised sensitization measures, including serum IgE..
The current study investigated newborn care and infant-feeding practices in the rural region, which is predominantly inhabited by Schedule Tribes and Schedule Cas..
Literature reports Temporal associations between Kawasaki disease (KD) andchildhood vaccines. However, there are limited data on KD following 13-valentpneumococcal..
Abstract Intratesticular abscess is an uncommon condition in children, often arising as a complication of epididymo-orchitis or hematogenous spread of infection. ..
Atopic dermatitis (AD) is a prevalent chronic inflammatory skin disorder, affecting approximately 12% of children worldwide. In its severe form, AD can significantly..
While lipid profiles are well studied in adults as markers of cardiovascular risk, limited research has focused on pediatric populations, particularly umbilical cord..
Asthma is a chronic inflammatory pulmonary disorder in childhood that presents a major public health concern due to its long-term impact on respiratory health. Under..
AbstractUrolithiasis in children is uncommon and can present atypically, often leading to delayed diagnosis. We report a case of a 10-year-old boy with nephrolithias..
Childhood atopic dermatitis (AD, also known as atopic eczema or eczema) may influence the timing of puberty through complex immunological and hormonal interactions, ..
A recent multinational study has identified four distinct clinical patterns of bronchiolitis in infancy, which also predict asthma risk later in childhood.¹Researche..
Does sleep deprivation affect the health-related quality of life (HRQoL) of healthy children? To address this question, researchers from the University of Otago (New..
Introduction Teratomas are rare congenital neoplasms containing tissues derived from all three germ layers. While sacrococcygeal teratomas are the most common, head..
Atopic dermatitis (AD) remains one of the most common chronic inflammatory skin conditions of childhood, often preceding the development of food allergies (FA) and..
Among adults aged ≥65 years with a history of severe childhood asthma, only 1 in 10 achieved asthma remission, while 1 in 3 developed persistent airflow limitation..
Incorporating indirect airway hyperresponsiveness (AHR) test with hypertonic saline in the management of asthma in..
AbstractMeningococcal pericarditis is a rare and potentially life-threatening complication of Neisseria meningitidis infection, typically occurring in the setting ..
Infants born prematurely could be at a higher risk of developing appendicitis within their first year of life, according to a recent study published in the Pediatric..
A recent real-world, cross-sectional survey of pediatric and adolescent patients with moderate-to-severe atopic dermatitis (AD) has shown a significant impact of the..
Children whose wheezing is triggered by allergens are more likely to continue experiencing symptoms over time, according to new research presented at the European Re..
IntroductionDengue is a mosquito-borne viral infection endemic in tropical and subtropical regions. While most infections are self-limiting, dengue hemorrhagic fever..
Atopic dermatitis (AD), a chronic and intensely pruritic skin condition, affects an estimated 2% to 42% of children globally. Beyond its visible skin lesions and i..
More than half of patients with childhood-onset systemic lupus erythematosus (SLE) patients present with gastrointestinal symptoms at the time of diagnosis, sugges..
Use of hypertonic saline nasal drops can shorten the duration of a upper respiratory tract infections (URTI) in children by two days, according to the results of E..
A 2-week-old male infant presented for follow-up evaluation due to persistent dry and cracked skin, noted by his parents since birth. The neonate was born at term ..
Single-parent adoption (SPA) in India remains an under-recognized yet growing pathway to family-building. While the Juvenile Justice Act, 2015, and guidelines from t..
Study Focus:A prospective, open-label, randomized controlled trial conducted at Kasturba Hospital, Manipal, assessed the impact of three feeding strategies on growth..
Background:Atopic dermatitis (AD) affects an estimated 43 million children aged 1–4 years and remains a common, chronic inflammatory skin disease. While emollients a..
Clinical Presentation:A previously healthy 2-year-old boy presented in a comatose state following sudden cardiac arrest. Thirty minutes prior, his right foot became ..
Among adults aged 65 years and older, who had severe asthma in childhood, only one in ten achieved asthma remission, while one in three experienced persistent airflo..
One-third of children who recover from sepsis are at risk of rehospitalization at 90 days after discharge, according to a recent study published in the July 2023 iss..
Children and adolescents with atopic dermatitis (AD) are at high risk of developing multiple non-allergic comorbid conditions, in addition to allergic conditions, as..
The present report describes a case of a 17-year-old female patient who was admitted to the hospital for evaluation of chronic abdominal pain. The patient had a hist..
Neonatal weight loss of up to 10% immediately after birth—peaking around days 3–4 of life—is a well-recognized phenomenon. Factors such as inadequate milk supply in ..
A recent study aimed to compare the proportion of exclusively breastfed (EBF) infants with severe vitamin D deficiency—defined as serum 25(OH)D concentration <11 ..
A new systematic review has highlighted significant disparities and quality concerns in global clinical guidelines for managing atopic dermatitis (AD) in children, p..
A previously healthy 2-year-old boy was hospitalized following an unexplained sudden cardiac arrest. Thirty minutes before the cardiac event, his right foot had beco..
A study published in the Indian Journal of Pediatrics aimed to classify children under five into four height categories—standard, short, severely short, and tall—usi..
Skin antisepsis was recognized as a key measure to prevent central line-associated bloodstream infections (CRBSIs) in neonates. However, the use of alcohol-based chl..
Eczema was a common skin condition in children, with atopic dermatitis being the most frequent form. It typically began in infancy and affected 15–20% of children. S..
Kikuchi–Fujimoto disease (KFD) is a rare condition marked by subacute necrotizing lymphadenopathy and fever. Although its exact cause remained unknown, researchers p..
Diaper dermatitis (DD) is a prevalent condition affecting neonates, infants, and young children, causing pain, disturbed sleep, and discomfort. Treatment involves wo..
The double-blind randomized controlled trial published in the Indian Pediatrics evaluated the effect of oral selenium on the clinical recovery of acute lower respira..
Atopic dermatitis (AD) is a common inflammatory skin condition in children, affecting up to 20% of the population. It typically begins within the first five years of..
Axillary web syndrome (AWS), also known as cording lymphedema, is a rare condition characterized by the formation of a fibrotic, cord-like structure in the axilla. T..
Recent treatments for skin diseases in children and teens include biologics and small molecule inhibitors (SMIs). These therapies work by targeting specific infla..
Atopic dermatitis (AD), also known as atopic eczema, is a chronic, recurrent inflammatory skin disease affecting 15%-20% of children and 1%-3% of adults worldwide...
Delayed umbilical cord clamping in term newborns has been associated with higher hemoglobin levels at 24 to 48 hours after birth, better iron stores at 3 to 6 mont..
Red ear syndrome (RES) is a rare condition characterized by recurrent episodes of ear redness and burning pain. It is more commonly reported in adults, with pedia..
Atopic dermatitis (AD) is currently understood to involve inflammation driven by Th2 and Th22 immune responses, as well as genetic factors such as filaggrin mutation..
Atopic dermatitis (AD) is a chronic inflammatory skin disease characterized by skin barrier dysfunction and immune imbalances, which often lead to increased allergen..
Periorificial dermatitis (POD) is a papular, chronic inflammatory skin disease most commonly seen in women between the ages of 20 and 40. The main condition it was o..
Childhood obesity is a growing public health issue, and early prevention is crucial. However, obesity management in children is challenging due to the need for fat t..
Atopic dermatitis (AD) is strongly linked to impaired skin barrier function, particularly in early infancy. While European guidelines advise limiting bathing to p..
Emerging evidence suggests that infantile colic characterized by unsoothable crying and perceived abdominal discomfort, may be more than a developmental phase. Amo..
Anaemia continues to be a critical public health concern in India, especially among children and adolescents. According to NFHS-4, 58% of Indian children under fi..
Background:Alopecia areata (AA), a chronic autoimmune condition marked by non-scarring hair loss, often shares an immunopathological overlap with atopic dermatitis..
Skin-to-skin care (SSC), also referred to as kangaroo care (KC), is a recognized best practice during the neonatal period, with extensive evidence supporting its c..
Acute abdominal pain (AP) is a frequent reason for visits to the emergency department (ED) and outpatient clinics, accounting for approximately 5–10% of ED present..
Prematurity remains a major global health challenge, contributing significantly to neonatal mortality and long-term complications among survivors. According to the..
Rabies remains a critical global public health concern due to its high fatality rate and potential for rapid transmission, necessitating vigilant preventive and po..
The skin of neonates and infants participates in a maturation process from birth and is susceptible to barrier disruption. A current algorithm established on a US-ba..
A study published in JAMA Pediatrics examined the association between screen time exposure during infancy and the development of autism spectrum disorder (ASD) – at..
The bioavailability of iron from different dietary iron sources varies.The goal of a study was to calculate the amount of bioavailable iron consumed among 6- to 12- ..
A 12-year-old girl presented with intermittent fever, generalized weakness, and abdominal distension accompanied by pain. On evaluation, she was diagnosed with bilat..
Infantile seborrheic dermatitis (ISD), a benign, inflammatory skin condition, features an erythematous rash with greasy scaling and is reported in approximately 70% ..
The Hepatitis A virus (HAV) is a prevalent contagious illness transmitted through the feco-oral route––particularly endemic in rapidly urbanizing areas. Despite the ..
Children with mild hyponatremia presenting to the pediatric emergency departments (EDs) are significantly more likely to need vasopressors, be admitted to wards and ..
Mendelian susceptibility to mycobacterial diseases (MSMD) represents a group of inherited immune system disorders characterized by interferon-gamma (IFN-γ) deficienc..
A new study from Finland has suggested type 1 diabetes in mothers increases the risk for nearly all types of congenital heart diseases (CHDs) in their offspring.1Lea..
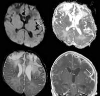
Herpes simplex virus encephalitis (HSE) is a treatable form of acute sporadic encephalitis with a high mortality rate of 50-70% if left untreated or inadequately tre..
The skin microbiome remains a prime aspect of pathogenesis in atopic dermatitis (AD). The skin of AD patients features microbial dysbiosis, with a reduction of micro..
A report describes a case of a male neonate, born vaginally at a gestational age of 39 weeks with an Apgar score of 9 to 10 and a weight of 3480 grams. He suffered p..
Pediatric acne is a widespread, multifactorial inflammatory skin disorder with diverse presentations depending on age, severity, and pubertal status. The Faces of Pe..
The present study was conducted to present cases of rapid onset obesity with hypothalamic dysfunction, hypoventilation, and autonomic dysregulation (ROHHAD) and to s..
Recurrent tonsillitis is a prevalent indication for tonsillectomy in children and shares symptoms with periodic fever, aphthous stomatitis, pharyngitis, and cervical..
Ayurveda is an age-old medical system that addresses human swasthya, or natural health, as well as a broad range of illnesses and how to treat them. In paediatric OP..
Effectively managing the nutrition of preterm infants presents significant challenges due to the variability in the macronutrient composition of human milk and lim..
Skincare for neonates and infants is essential due to their more delicate and permeable skin compared to adults. It is important to use mild, fragrance-free produc..
The gut microbiota plays a crucial role in human development and function, particularly influenced by various environmental factors during early life. This randomi..
Methemoglobinemia is an uncommon cause of cyanosis in infants, occurring when the iron in hemoglobin is oxidized from the ferrous (Fe2+) to the ferric (Fe3+) state..
The "presurgical lip, alveolus, and nose approximation" (PLANA) technique presents a novel method in presurgical infant orthopedics for infants with cleft lip and pa..
Atopic dermatitis (AD) is the leading inflammatory skin condition among children, affecting 15%–20% globally. Treatments for moderate to severe AD include hydration,..
This study aimed to evaluate how maternal supplementation with docosahexaenoic acid (DHA) during pregnancy and breastfeeding affects infants’ immune and inflammatory..
Vitamin C deficiency can significantly contribute to walking pain, but its various symptoms may not appear simultaneously, complicating diagnosis. This report discus..
Urine dipstick analysis is a valuable method for detecting asymptomatic kidney issues. Recent studies indicate that the prevalence of urinary abnormalities in asympt..
This study investigated the impact of using vibration and external cold on pain experienced by six-month-old infants during vaccine injections. It was designed as a ..
Atopic dermatitis (AD) is a persistent, itchy skin condition with a complicated origin, impacting approximately 43 million children aged 1 to 4 years. Emollient ther..
Purpura fulminans (PF) is a severe infection caused by Neisseria meningitidis that necessitates prompt recognition and intensive care. The researchers discussed an a..
Early introduction of food allergens in infants has been effective in preventing food allergies (FA), yet its real-world application faces several challenges. Recent..
Scabies, an ectoparasitic infection caused by the mite Sarcoptes scabei var. hominis, affects approximately 300 million people globally, with the highest incidence f..
Shigella infections pose a serious health threat globally, particularly affecting children in low- and middle-income countries, leading to significant illness and de..
A 14-year-old boy presented with generalized edema and reduced urine output for 15 days, accompanied by a painless swelling in the left parotid region that had devel..
Emerging evidence suggests that skin disorders may elevate the risk of autism spectrum disorder (ASD). These conditions can negatively impact quality of life, leadin..
The current retrospective study aimed to outline the clinical progression and outcomes of 33 patients with Kawasaki disease (KD) who were treated with cyclosporine (..
The study aimed to assess the effectiveness of the modified Martin procedure in treating patients with megacystismicrocolon intestinal hypoperistalsis syndrome (MMIH..
Chronic kidney disease (CKD) involves a progressive decline in kidney function and is often associated with dental health problems. A 15-year-old girl diagnosed with..
Clinical evaluations and standard lab markers are indirect indicators of cardiovascular health, but their limitations in assessing neonatal circulatory function, esp..
Managing fluid and electrolyte balance in extremely low gestational age neonates (ELGANs) is often difficult due to their unique fluid physiology. In the first week ..
The distribution of pediatric dermatosis varies across different regions globally. In India, infections represent around 50% of skin issues, with dermatitis followin..
A 26-day-old term girl, weighing 3.3 kg and with a previously normal antenatal history, suddenly developed lethargy, rapid heartbeat, and seizures, necessitating ven..
Research shows that physiological, psychological, and cognitive factors significantly impact children's wellbeing and academic success. However, studies examining th..
Anemia remains a significant issue in low- and middle-income countries, particularly in India, where its prevalence has risen to 67.1%. Iron deficiency anemia (IDA) ..
Skin disorders are a significant health concern in children, imposing a considerable financial strain on healthcare systems, particularly in impoverished countries l..
Primary cutaneous lymphomas (PCL) encompass a range of cutaneous T cell and B cell lymphomas. Mycosis fungoides (MF), a rare form of cutaneous T cell lymphoma, predo..
The study aimed to investigate the association between teething and infant sleep using objective sleep data.The study included 849 infants aged 3 to 18 months from t..
Sufficient protein intake is essential for the growth and development of preterm infants. This study examined the impacts of high protein (HP) versus low protein (LP..
Evidence based observations suggest that pathophysiology of sensitive skin in infants poses significant challenges, primarily due to the reliance on self-reported as..
This article discusses a case of a 14-year-old girl who experienced an acute myocardial infarction (MI) caused by vasculitis affecting her coronary arteries. She ini..
Non-invasive cardiac output monitoring utilizing electrical biosensing technology (EBT) allows for continuous monitoring of multi-parameter hemodynamic variables. EB..
Chronic spontaneous urticaria (CSU) and moderate-to-severe atopic dermatitis (AD) pose significant challenges for children, adversely affecting their quality of life..
Eczema is a prevalent skin condition, with atopic dermatitis being the most widespread type. This form of eczema typically starts in infancy and affects approximatel..
A newborn found abandoned was admitted to our hospital with moderate hypothermia (33.5 °C), a blood sugar level of 60 mg/dl, and an oxygen saturation of 96% on room ..
Understanding prevailing infant care practices and their impacts is essential for enhancing public programs. While infant massage is a traditional practice in India,..
Several countries around the world are struggling with children's underdeveloped fundamental movement skills (FMS). Active play (AP) is a promising approach to impro..
The current study conducted by Awasthi S, et al. aimed to investigate the link between dietary fatty acids and asthma in Indian school children. The researchers enro..
Lung ultrasound scoring is a proven tool for evaluating lung pathology. Despite the presence of scoring systems, the size of consolidations gets usually overlooked, ..
This study aimed to evaluate the effectiveness and feasibility of telemedicine services for managing type 1 diabetes (T1D) in India, focusing on glycemic control and..
The present study aimed to explore the impact of auriculotherapy on sleep quality in children with attention-deficit/hyperactivity disorder (ADHD), given the signifi..
The study aimed to evaluate the efficiency of skin cosmetics for restoring skin conditions in children up to 7 years old, emphasizing on reducing dryness, irritation..
The treatment of giant omphalocele in newborns lacks standardization with single repairs, staged surgeries using synthetic or biological mesh, or silos are the most ..
Skin-to-skin care (SSC) is essential for parents and infants during the neonatal period and should begin immediately after birth in all settings, including at home. ..
Graduates from neonatal intensive care units (NICUs) face a risk of sudden death at home after being discharged, but many of these incidents could be avoided if pare..
The aim of this study was to examine the clinical characteristics, pathological types, treatment approaches, and outcomes of idiopathic multicentric Castleman diseas..
Gastro-esophageal variceal hemorrhage (GEVH) is a significant cause of severe gastrointestinal bleeding in children. Various treatment options, including medical, en..
Acute myocarditis is a rare but serious life-threatening condition that can affect infants and children. Although research have shown limited efficacy for immunosupp..
The present study aimed to evaluate and compare the effectiveness and safety of intravenous (IV) ketorolac versus IV morphine for treating severe vaso-occlusive cris..
The Special Interest Group (SIG) on Sensitive Skin of the International Forum for the Study of Itch (IFSI) defines sensitive skin as a syndrome causing unpleasant se..
A 6-month-old male infant, the second child of healthy, non-consanguineous parents, presented with upper abdominal distension, failure to thrive, and hepatomegaly. E..
Magnetic resonance imaging (MRI) of lungs in children has shown significant potential and efficacy comparable to CT scans for identifying various thoracic conditions..
The prevalence of non-alcoholic fatty liver disease (NAFLD) is rising along with obesity, attributed to chronic low-grade inflammation and changes in the enterohepat..
Infantile seborrhoeic dermatitis (ISD) is a chronic inflammatory skin condition that causes redness and greasy scaling in infants and young children. It typically la..
A 10-year-old girl with normal development presented with difficulty in extending her little and ring fingers of both hands for five days. By the third day, she also..
Lower respiratory tract infections (LRTIs) are a crucial cause of hospital admissions in children. The present study was conducted to analyze the epidemiological cha..
The health of an infant's skin plays a critical role in their overall well-being, yet it is an area that requires specialized care and understanding. A recent review..
A 2-year-old boy, the first child of consanguineous parents presented with global developmental delay. He could sit up but had limited speech, only using one meaning..
Neuroinflammation is known to play a role in the development of attention deficit hyperactivity disorder (ADHD), with recent evidence suggesting a potential autoimmu..
The present study was conducted to present cases of rapid onset obesity with hypothalamic dysfunction, hypoventilation, and autonomic dysregulation (ROHHAD) and to s..
Oculomotor apraxia (OMA) is typified by difficulties in voluntary eye movements, especially horizontally, while the ability to make slow pursuit movements remains in..
A report describes a case of a seven-month-old male patient who presented with complaints of diaper rash of three months of duration with no response to treatment. H..
Invasive pneumococcal disease (IPD) poses a significant global health risk, in spite of advancement in immunization and antibiotic treatment, particularly following ..
Guidelines for managing chronic urticaria (CU) in children often rely on recommendations from adult studies, which lack a standardized diagnostic pathway. The effect..
Recurrent tonsillitis is a prevalent indication for tonsillectomy in children and shares symptoms with periodic fever, aphthous stomatitis, pharyngitis, and cervical..
Evidence suggest that central nervous system (CNS) involvement in scrub typhus can be observed in approximately 20% of patients, although cranial nerve palsy especia..
A new study aimed to investigate the impact of neonatal hypoglycemia on neurodevelopment and neurodevelopmental clusters in infants at 18 months of age. This prospec..
Fact Table: Key Statistics and Recommendations on Childhood ObesityAspectHighlight / RecommendationPrevalenceObesity rates rising in both urban and rural India — a c..
An interventional study aimed to assess the efficacy and safety of sublingual methylcobalamin in treating vitamin B12 deficiency anemia in children aged 1-12 years. ..
An 11-year-old boy exhibited gradual hyperpigmentation over the perioral region, eyelids, and right forehead – during the nine months following the initiation of ora..
Children with atrial septal defect (ASD) and ventricular septal defect (VSD) are commonly examined for respiratory symptoms, even when the underlying condition is no..
Children with developmental delay (DD) frequently exhibit impaired visuomotor integration (VMI). The purpose of this pilot study was to assess the impact of tablet c..
The gut microbiota of patients with drug-resistant epilepsy (DRE) differs from that of drug-sensitive patients and healthy individuals. It has been observed that syn..
Primary distal renal tubular acidosis (dRTA) can have varying manifestations. The case report discussed a three-year-old girl diagnosed with dRTA who presented with ..
Mounting evidence establishes the association between prenatal mood and substance use with the cognitive and behavioral development in children. More research is ..
The present study was aimed to assess refractory respiratory distress syndrome (RDS) risk factors among very-low-birth-weight infants (VLBWIs).Data from very low ..
The incidence of refractory Mycoplasma pneumoniae pneumonia (RMPP) in children is on the rise, presenting a significant risk to life. Intravenous immunoglobulin (..
A 2-year-old girl, previously developmentally normal, was brought to the hospital with a 5-day history of fever, 7 episodes of loose stools per day for 3 days, an..
Children devote a significant portion of their time to sedentary activities, which are defined as those that do not remarkably accelerate energy expenditure above re..
Ghee, a clarified butter with various names across Asia, the Middle East, and Africa, has been used for thousands of years. It is produced through a high-temperature..
Mental health is adversely affected by autism spectrum disorder (ASD), especially for moms of autistic children who are under a lot of stress. Music therapy and appl..
Noonan syndrome is an autosomal-dominant disorder associated with mutations in the gene encoding of RAS/MAPK pathway, leading to specific cardiac consequences. Patie..
Plethora of studies have established the significant role of mothers in caring for children with neuro-developmental delays (NDD), yet there is a notable gap in unde..
The present study was performed to verify normal reference values for commonly used ventricular indices – Anterior Horn Width (AHW), Ventricular Index (VI) and Thala..
There is a dearth of data depicting the similarities in efficacy and safety between acetaminophen and ibuprofen when used as a monotherapy or dual (alternating or co..
Primary retroperitoneal teratoma of infancy is rare condition, accounting for only 3.5%–4% of all germ cell tumors. These tumors can present as either asymptomatic m..
The increasing prevalence of early-onset Type 1 diabetes poses significant challenges due to its long-term adverse effects. Diabetes not only has micro and macrovasc..
Neonatal examination is essential to identify any anomalies or delivery-related injuries that may have been missed earlier and to educate mothers on newborn care at ..
The current statement offers updates on the recommendations of the American Academy of Pediatrics (AAP) for the routine use of influenza vaccines and antiviral medic..
The present case report discusses a neonate who was born via cesarian section at 36+2 wk gestation with a birth weight of 3.66 kg (98th percentile). She needed intub..
The study was aimed to gather contemporary data on infants born at 22 to 25 weeks of gestation who received care in level 3 and 4 neonatal intensive care units (NICU..
Sepsis is a syndrome typified by clinical and laboratory abnormalities and caused by systemic inflammation in the presence of a suspected or proven infection. The pr..
The objective of the current study was to analyse the developmental trajectory of key cognitive, social, and emotional features in girls with fragile X syndrome (FXS..
Acute disseminated encephalomyelitis (ADEM), also known as postinfectious encephalomyelitis is a rare immune-mediated pathology involving inflammatory demyelination ..
Routine well-child checkups and vaccinations are part of preventive healthcare for kids. However, the care gets more difficult for women with physical, sensory, in..
Flexible bronchoscopy is a crucial diagnostic tool for children with respiratory issues but can be associated with complications. The present study was aimed to ev..
Atopic dermatitis (AD) is a prevalent chronic skin condition, especially in children, where its onset often occurs early: 60% of cases emerge in infancy, and up to 8..
Congenital hyperinsulinism (HI), caused by abnormal insulin secretion, is the leading cause of persistent hypoglycemia in infants and children. This condition is m..
Pneumonia is one of the prominent causes of mortality in young infants, resulting in >200 000 deaths each year. Children of all ages can have pneumonia, but young in..
Children with impaired immune systems may be more susceptible to severe respiratory syncytial virus (RSV) lower respiratory tract infections (LRTIs), which could res..
Chronic hemolytic anemia, also known as sickle cell disease (SCD) is linked to episodic acute complications that progressively affects spleen, with evidence of hypos..
Infectious mononucleosis (IM), caused by the Epstein–Barr virus (EBV), typically manifests with fever, tonsillopharyngitis, and lymphadenopathy. Although rare, renal..
Sepsis is one of theprominent causes for morbidity and mortality in young infants worldwide, impacting 6.3 million newborns in 2019 and leading to approximately 200,..
Spain introduced universal respiratory syncytial virus (RSV) prophylaxis, making all newborns eligible to receive nirsevimab in the 2023–2024 RSV season. Many Spanis..
The article discusses the promising new era of immune therapies based on immune effector cells (IEC), particularly Chimeric Antigen Receptor (CAR) T-cell therapy. Or..
The physical forces experienced during childbirth can lead to various injuries, including head injuries, clavicular fractures, and peripheral nerve damage, particula..
Medical nutrition therapy is a crucial component in the management of children with type 1 diabetes (T1D). Yet, adherence to dietary guidelines remains suboptimal. C..
A recent study evaluated the validity of end-tidal CO2 (ETCO2) as a surrogate for arterial PCO2 (PaCO2) in infants on neurally adjusted ventilatory assist (NAVA), sp..
Indian Society of Pediatric Gastroenterology, Hepatology, and Nutrition (ISPGHAN) recently formulated recommendations for steatotic liver disease in children, which ..
A report describes a case of a 3-month-old female infant who presented with weight stagnation and dehydration. Examination revealed the child to be dehydrated with s..
Delivering surfactant through thin catheters, known as minimal-invasive surfactant therapy (MIST) or less invasive surfactant administration (LISA), is a common proc..
Traditional knowledge plays a key role in child-rearing – often influencing practices for conditions like breastfeeding, diaper rash, diarrhea, and jaundice. A recen..
The goal of a new study was to evaluate the change in serum hepcidin levels and its correlation with hemoglobin (Hb) levels during the first two weeks of oral iron t..
According to the National Family Health Survey 5, 67.1% of children in India aged 6-59 months are anemic – iron deficiency anemia (IDA) is the most common cause.&nbs..
The concept of early-term infants—those born at 37 or 38 weeks—has gained increasing attention in recent decades as healthcare providers want to better understand th..
A recent study assessed the link between monocytic Human Leukocyte Antigen-DR (mHLA-DR) expression and outcome in children(aged 29 days to 15 years) with severe seps..
Understanding interventions to improve survival outcomes in preterm infants is important for informing programs and policies. A recent study investigated the impact ..
A report describes a case of a 17-year-old female with a history of anxiety who presented with an 18-hour history of intense left upper quadrant (LUQ) abdominal pain..
Immunization is one of the most cost-effective strategies for preventing infectious diseases and reducing infant and child mortality. Despite significant progress in..
A recent study describes the clinical profile and factors affecting mortality of children affected with adenovirus infection. It highlightsOut of 527 screened childr..
Preterm infants are highly susceptible to infections, which results in marked morbidity and mortality. A recent systematic review and meta-analysis that analyzed the..
A report describes a case of a 5-week-old girl who presented with the complaint of decreased activity and feeds, poor suck, weak cry and lethargy for three days. She..
The skin serves as a mirror of general health, particularly in neonates and children, where skin manifestations are common. Pediatricians may sometimes overlook the ..
Recently, a group of researchers developed an advanced life support (ALS) tape tailored to Indian children, using data from a multicenter study on height/length and ..
The present study evaluated the effects of perioperative active warming on the core body temperature, postoperative pain, shivering, and agitation in children aged 2..
A report describes a case of a five-year-old, developmentally normal girl who presented with fever and headache (right-sided) for four days’ duration and a single ep..
Neonates in neonatal intensive care units (NICUs) are at high risk for skin damage – medical devices being a common cause. Other contributing factors include immobil..
The aim of a new study was to assess the prevalence of psychiatric comorbidities in children with epilepsy (CWE) and their impact on quality of life (QOL).In this pr..
Atopic dermatitis (AD) is a chronic and itchy skin condition that affects about 43 million children aged 1-4 years. Emollients are commonly used to manage AD symptom..
A 4.5-year-old girl––first child, born full-term to second-degree consanguineous parents, presented with difficulty walking independently. Developmental delays were ..
Atopic dermatitis (AD) – a common chronic skin condition in children, which is often linked with other atopic disorders like asthma and allergic rhinitis. While AD i..
The goal of a study was to evaluate growth trajectories of preterm, very low birth weight (VLBW) infants who are appropriate for gestational age (AGA) under three di..
A new study aimed to evaluate whether extended or continuous beta-lactam infusions (EI/CI) enhance clinical outcomes in children with bacterial infections. In this s..
A 15-year-old boy presented with shortness of breath and generalized malaise for over 3-4 days.The child had a history of Noonan syndrome. His medical history inclu..
Caring for children with Type 1 Diabetes (T1D) presents unique challenges, as it requires addressing a broad spectrum of developmental stages. Achieving successful o..
Treating children with undiagnosed RR/MDR-TB is crucial to reduce childhood TB mortality. Optimal diagnosis and management of children under 15 years old with rifamp..
A recent study discusses the safety and effectiveness of selexipag for treating pediatric patients with pulmonary arterial hypertension (PAH).After analyzing clinica..
A report describes a case of a male neonate, born vaginally at a gestational age of 39 weeks with an Apgar score of 9 to 10 and a weight of 3480 grams. He suffered p..
Early childhood caries (ECC) poses a significant challenge for pediatric dentists globally, with dietary factors playing a crucial role in its development. Limited r..
The aim of a new study was to compare the effectiveness of a high-flow nasal cannula (HFNC) and conventional oxygen therapy (COT) – using a simple nasal cannula for ..
Pediatric chronic pain – pain lasting three months or longer, is a widespread, disabling, and expensive issue, particularly during adolescence. It often disrupts psy..
A male newborn was delivered through vacuum extraction – at 40 weeks gestation. At birth, he required positive pressure ventilation for one minute due to hypotonia a..
Ultrasound-guided percutaneous central venous port (CVP) placement offers a minimally invasive approach for pediatric patients, but like many surgical techniques, it..
There is a rising concern that acetaminophen may adversely affect lung health. Hence, the present retrospective study examined if acetaminophen, compared with cycloo..
A recent study that evaluated postprocedural clinical characteristics of preterm infants undergoing transcatheter patent ductus arteriosus (PDA) closure foundThe inc..
A 5-year-old girl complained of a sound coming from the left side of her chest for the previous two years, which occurred intermittently, for minutes to hours, for 3..
The aim of a new study was to assess the effect of proactive perinatal care on periviable preterm infants before and after its implementation.In this retrospective c..
The goal of a study was to assess the impact of hybrid support (tele-mentoring and conventional support) on adverse outcomes among neonates in 10 special newborn car..
A new study compared the PaO2/FiO2 (PF ratio) to SpO2/FiO2 (SF ratio) and the oxygenation index (OI) to the oxygenation saturation index (OSI) for predicting short-t..
A 10-year-old boy was referred to the endocrinology department due to minimal linear growth between ages 7 and 10. His parents noted growth arrest over the past two ..
Immunization coverage in India varies significantly across different settings, geographic areas, and populations. Leveraging technology can play a crucial role in re..
A recent study assessed the impact of focused parental education on limiting screen time in early childhood.It enrolled 120 healthy children aged 9–10 months, born a..
A recent study assessed the association between nutritional and clinical characteristics and quantitative PCR (qPCR)-diagnosis of bacterial diarrhea in a multicentre..
A report describes a case of a 6-year-old boy who presented after an episode of focal seizure and acute-onset right hemiparesis. Examination revealed the child as du..
Excessive screen time among children has become a global issue due to its negative impact on health and development. Understanding its prevalence and associated risk..
Acute diarrhea is a leading cause of morbidity and mortality among children under five in India, particularly affecting those belonging to the age-range 6 months to ..
Neutralizing virus infectivity is considered a primary immunological defense against rotavirus infection. In India, the National Immunization Programme includes RR [..
A 5-year-old boy was brought to the emergency department with two episodes of hematemesis within the last 5-6 hours. His parents reported that he had been exper..
Urticaria – a common presentation during childhood, affects up to 15% of British children and is marked by sudden wheals, angioedema, or both. The condition arises..
The impact of maternal vitamin D supplementation on preventing infantile rickets in low- and middle-income countries is unclear, especially where routine infant su..
In 2016, the Global Polio Eradication Initiative (GPEI) recommended stopping the use of type 2 oral poliovirus vaccine (OPV) and shifting from trivalent to bivalen..
A two-year-old boy presented with a painless, gradually enlarging swelling on his left cheek.His swelling was first noticed nearly 10 months back. Initially grape-si..
Mumps – an acute infectious disease, is caused by an RNA virus from the genus Rubulavirus, family Paramyxoviridae. This virus predominantly targets glandular and ner..
Guidelines for managing chronic urticaria (CU) in children often rely on recommendations from adult studies, which lack a standardized diagnostic pathway. The effect..
The goal of a new study was to estimate lung ultrasound (LUS) scores within six hours of birth in neonates with respiratory distress (RD) and evaluate its predictive..
Adenosine kinase (ADK) deficiency manifests with seizures, global developmental delay, and distinctive facial features. Fewer than 30 cases have been reported global..
Pediatric inflammatory bowel disease (IBD) has traditionally been more prevalent in Western countries, and there is limited data on pediatric IBD (P-IBD) in northern..
A new study aimed to compare the proportion of exclusively breastfed (EBF) infants with severe vitamin D deficiency (25(OH)D concentration <11 ng/mL) at 6 months ..
The goal of a recent study was to present the epidemiology of Japanese encephalitis (JE) following the introduction of routine immunization in moderately endemic dis..
An eight-year-old boy presented with migratory maculopapular skin lesions – evolving over eight weeks. On examination, the lesions were erythematous, non-ecchym..
A new study aimed to compare the social, emotional, and behavioral status of children with foreign body ingestion to that of healthy individuals. This case-cont..
Management of Primary Vesicoureteric Reflux (VUR) – revised updates from the Indian Society of Pediatric Nephrology Guidelines (ISPN) 2023:Surgical reimplantation is..
A new study assessed the utility of the Film Array Meningoencephalitis (FAME) panel in managing children with acute encephalitis syndrome (AES).In this retrospective..
A 14-year-old boy was brought to the emergency department after experiencing syncope and afebrile seizures. Three days earlier, he collapsed during a soccer game and..
Neonatal weight loss of up to 10%, immediately after birth––peaking around 3-4 days of life––is a well-recognized phenomenon. Factors such as inadequate milk suppl..
Summary of Key Recommendations and Clinical Practice Points for urinary tract infection (UTI) Prevention – revised Indian Society of Pediatric Nephrology guideline..
A new study evaluated the effectiveness of a nurse-guided maternal intervention package in reducing stress behaviors among preterm neonates in the NICU.This random..
A previously healthy 2-year-old boy was hospitalized following an unexplained sudden cardiac arrest. Thirty minutes before the cardiac event, his right foot had be..
Children and adolescents with Type 1 diabetes (T1D) must administer bolus insulin before meals, requiring self-care tasks such as blood glucose monitoring to determi..
Imaging Following Urinary Tract Infections (UTIs):Ultrasound scan is indicated for all patients diagnosed with UTI. The advantages of using this imaging modality are..
A new study aimed to develop anthropometric growth references for Indian children and adolescents using data from multiple national surveys on 'healthy' children. He..
A 17-year-old girl arrived at the emergency department (ED) with an intense left upper quadrant (LUQ) abdominal pain that worsened with movement. Her pain had commen..
Integrating artificial intelligence (AI) into pediatrics can revolutionize healthcare through innovative diagnostic methods, treatment planning, and customized cli..
Prompt diagnosis and treatment of urinary tract infections (UTIs) in children are crucial to prevent complications. Children with recurrent UTIs require thorough e..
A new study assessed the effectiveness of infant pulmonary function tests, specifically Tidal Breathing Flow Volume Loops (TBFVL), in diagnosing airway anomalies i..
A 19-month-old boy presented with multiple vomiting episodes. His body weight was 9.3 kg, and his height was 80 cm.Initial clinical examination revealed irritabil..
Urinary tract infections (UTIs) are among the most prevalent severe bacterial infections in children, often leading to healthcare visits. Escherichia coli is the pri..
Diagnosing urinary tract infections (UTIs) in children is challenging due to the non-specific symptoms and difficulty collecting urine specimens. However, early diag..
Acute encephalitis syndrome (AES) in children can lead to severe neurocognitive deficits or death, making periodic studies crucial to track changes in causes and out..
A primigravida mother delivered a healthy girl at term via spontaneous vaginal delivery, with the baby weighing 4,080 g at birth. At the 2-week well-child check, the..
The development of executive function (EF) in preschool children, particularly those with congenital heart disease (CHD), depends on various factors. Recent research..
The present study assessed the similarity between umbilical cord blood (UCB) and neonatal blood (NB) laboratory test results at birth.The study included very preterm..
X-linked agammaglobulinemia (XLA) is a prevalent inborn error of immunity (IEI), where early diagnosis is crucial for timely intervention with intravenous immunoglob..
A report describes a case of a 17-year-old boy who underwent recurrent neurological symptoms since age 10, beginning with an acute-onset left ulnar axonopathy, that ..
Iron deficiency anemia (IDA) remains a significant health concern among Indian children and adolescents despite constant efforts to address it through iron supplemen..
The present study investigated the improvement in serum chloride levels between children receiving 5% Dextrose in Ringer’s Lactate (RLD5) vs. 5% Dextrose Normal Sali..
The present study investigated the longitudinal associations between newborn neurobehavioral stress signs, maternal parenting stress, and several indices of toddler ..
Mumps, an acute viral illness, is caused by a paramyxovirus and typically presents as parotitis. Infective myositis is a self-limiting condition in children caused b..
Biliary atresia (BA) poses a significant challenge in pediatric hepatology, constituting a substantial proportion of neonatal cholestasis cases and serving as a le..
Early onset of Myopia raises the risk of high Myopia, which may cause irreversible retinal damage and even central vision loss.The present study investigated the ..
The present study investigated the relationship between sleep and subcortical brain structures in 98 children with overweight/obesity. It estimated Sleep behaviors ..
A report describes a case of a term neonate born who developed ecchymosis for two days, heeded by altered sensorium and seizures on day 25 of life. He had an unevent..
Bronchopulmonary dysplasia (BPD) remains a significant concern in neonatal care, especially for premature babies dealing with respiratory distress syndrome (RDS). Re..
A recent study compared the efficacy of closed tracheal suction systems (CTSS) to open tracheal suction systems (OTSS) in reducing the incidence of ventilator-associ..
Procedural sedoanalgesia is given to Children undergoing invasive procedures to reduce anxiety and fear. Cost-effective sedation will help Non-anesthesiologists (tra..
A report describes the cases of two boys from well-off social strata who presented with rachitic fractures, indicating child neglect and abuse by omission.The first ..
Neonatal sepsis remains a significant challenge for healthcare providers caring for newborns and infants. Babies are particularly vulnerable to bacterial infection..
The function-based eat, sleep, console (ESC) care approach significantly reduces the need for pharmacological treatment in infants suffering from neonatal opioid w..
A recent study investigated the mechanism of glycemic control in children with type 1 diabetes (T1D) following high-strength probiotics supplementation by evaluati..
A report describes a case of a three-year-old boy who presented with 36–72-hour attacks of unresponsiveness with normal vital signs and without any specific neurolog..
Thiamine deficiency disorders (TDD) pose a significant challenge in pediatric medicine, presenting a range of clinical abnormalities with potentially serious cons..
New developments in vaccinology and the availability of new vaccines have prompted a need to revise/review the existing immunization recommendations. The Advisory ..
A recent study investigated the impact of blood sampling stewardship on transfusion requirements among extremely premature infants. The study included infants bor..
A report describes a case of a 29-day-old baby boy with fetal growth restriction and born by induction at 40 weeks. He was small for his gestational age and showe..
Over the past few decades, there has been an alarming rise in pediatric hypertension cases. This trend not only poses immediate risks but also heightens the likeliho..
The three pathophysiologic contributors to septic shock are-• Different combinations of hypovolemia (relative > absolute)• Reduced vascular tone or vasoplegia • Myoc..
A recent study evaluated the incidence and kinds of primary immunodeficiency diseases (PIDs) in hospitalized children (upto 12years). It screened the children for su..
A report describes a case of an 11-year-old girl who presented with lower lip cheilitis and stomatitis for a day. There was no history of any such previous episodes,..
Neonatal care requires meticulous management of fluids, electrolytes, and nutrition, particularly for extremely preterm neonates who are most vulnerable. Guideline..
A new study assessed the effectiveness of color Doppler ultrasonography in evaluating the response of infantile hemangioma to oral propranolol treatment. This pros..
A new study investigated thyroid function abnormalities and associated conditions in very preterm (VPT) or very low birth weight (VLBW) infants.This retrospective..
A 2-year-old boy was brought to the emergency department after experiencing sudden cardiac arrest of unknown cause. Prior to the arrest, his right foot had accide..
Acute kidney injury (AKI) remains a critical concern in pediatric healthcare, characterized by its sudden onset and potential for severe complications. Among its var..
A recent study compared the effect of companion presence versus midwife presence during skin-to-skin contact (SSC) at birth on maternal anxiety, satisfaction, and ne..
A recent Randomized Controlled Trial assessed the effectiveness of using mustard seed-filled pillows in preventing deformational plagiocephaly (DP) in preterm infant..
A report describes a case of a 2-year-old boy who presented with a two-week history of a febrile illness associated with cold and cough. He displayed fever and incre..
Understanding food selectivity (FS) in children with autism spectrum disorder (ASD) is crucial for both caregivers and healthcare professionals. A recent research il..
Adequate Physical Activity, less Sedentary Behavior, optimum Sleep, and less Screen Time are crucial for children, especially for those under five. A cross-sectio..
A report described a case of a baby girl born at 24 weeks gestation experiencing numerous prematurity sequelae like respiratory distress syndrome and grade 2 intra..
Herpes simplex virus encephalitis (HSE) is a treatable form of acute sporadic encephalitis with a high mortality rate of 50-70% if left untreated or inadequately tre..
Pruritus poses a significant challenge in the context of pediatric chronic cholestasis, and its uncontrollable nature may even warrant liver transplantation. A recen..
The normal heart rate variability (HRV) values in newborn infants remain unclear. A recent study aimed to evaluate the feasibility of measuring and analyzing short-t..
A report describes a case of a 9-month-old girl who presented with regression of milestones for two months. She was not able to vocalize and showed a silent cry for ..
Appendicitis is the leading cause of abdominal surgery in children. However, its diagnosis poses a challenge due to the initial nonspecific symptoms that lead to del..
A study reported 15 years of experience at a single medical center regarding the management and outcomes of ileocolic intussusception (ICI) cases.This was a retrospe..
The Hepatitis A virus (HAV) is a prevalent contagious illness transmitted through the feco-oral route––particularly endemic in rapidly urbanizing areas. Despite the ..
A male neonate exhibited typical buttocks, normal genitalia, and a well-formed perineum with a funnel-shaped anus upon birth. He was delivered at 40 weeks gestationa..
Rickets is a common childhood condition characterized by improper bone mineralization, resulting in deformities and growth impediments. It is caused by deficiencies ..
A recent study aimed to evaluate the efficacy of the Pediatric Appendicitis Score (PAS) in diagnosing acute appendicitis among children with lower abdominal pain, th..
The objective of a new study was to evaluate the influence of targeted parental education on limiting screen time in early childhood. This was an open-label, randomi..
A 5-month-old female infant was hospitalized due to pneumonia, which quickly progressed to respiratory failure. Immediate intervention included the initiation of non..
Chemotherapy-induced nausea and vomiting (CINV) adversely affect the quality of life (QoL) of pediatric cancer patients. Despite standard guidelines for prevention..
A new study evaluated the performance of the empiric prediction tool developed by Gupta et al. in predicting neurological outcomes in critically ill children and t..
A new study aimed to assess the usefulness of microscopic examination and culture of endotracheal aspirate (ETA) in the early diagnosis of ventilator-associated pn..
Carbonic anhydrase-VA (CA-VA) deficiency is a rare autosomal recessive disorder resulting from a homozygous mutation in the CA5A gene. With only 26 reported cases..
A recent article discussed the common and distressing experience of children undergoing peripheral venous cannulation in hospitals – emphasizing the deep-rooted pain..
A new study aimed to assess the effectiveness of procalcitonin (PCT) as a point-of-care test for screening radiographic pneumonia in children with influenza-like ill..
The goal of a recent study was to evaluate cardiorespiratory fitness in children and adolescents with overweight/obesity using the Kasch pulse recovery (KPR) test, e..
Mendelian susceptibility to mycobacterial diseases (MSMD) represents a group of inherited immune system disorders characterized by interferon-gamma (IFN-γ) deficienc..
A new study aimed to investigate the impact of neonatal hypoglycemia on neurodevelopment and neurodevelopmental clusters in infants at 18 months of age. This prospec..
A recent article presented a literature-based review on the burden of childhood obesity, its etiology, and its risk factors to guide recommendations for its evaluati..
An interventional study aimed to assess the efficacy and safety of sublingual methylcobalamin in treating vitamin B12 deficiency anemia in children aged 1-12 years. ..
An 11-year-old boy exhibited gradual hyperpigmentation over the perioral region, eyelids, and right forehead – during the nine months following the initiation of ora..
A new study investigated spirometry parameters in children six months after severe acute coronavirus 2 (SARS-CoV-2) infection.This was a descriptive study conducted ..
A new study aimed to assess the accuracy of the Advanced Pediatric Life Support (APLS) endotracheal tube (ET) depth formula in Indian children aged 1-12 years.This w..
A recent study investigated geographical variations in children under five for diarrhea-associated –prevalence, oral rehydration solution (ORS), and zinc supplementa..
A new study presented a clinical and etiological profile of 19 children with renal rickets managed between 2021-2022. The median age of presentation was 60 months, a..
A recent study described the challenges and discrimination faced by single parents, particularly those opting for Single-Parent Adoption (SPA) in India. Despite lega..
The circulation of bilirubin in the enterohepatic system plays a crucial role in neonatal jaundice. A new study assessed the efficacy of oral zinc in decreasing seru..
The goal of a recent study was to culturally adapt and validate a Hindi version of the Ages and Stages Questionnaire (ASQ-3) – for Indian children aged 2-24 months. ..
A 2-year-old boy was treated in the outpatient clinic for a febrile illness associated with cough and cold. However, these therapies failed. He also exhibited increa..
A recent article emphasized the impact of chronic illnesses and diseases during childhood and adolescence on linear growth, pubertal development, and bone mass ac..
A new study assessed the efficacy of procalcitonin (PCT) as a point-of-care test for screening radiographic pneumonia in children with influenza-like illness (ILI)..
The heel prick is a frequently performed, painful procedure in neonates, and various devices are available for this purpose. Evaluating and comparing the procedura..
The parents of a two-week-old male reported dry and cracked skin of the neonate, noticed at birth. The baby had no prior medical history. Shortly after birth, he ..
The COVID-19 pandemic has profoundly impacted the psychosocial well-being of people and societies worldwide. A new prospective, interventional study evaluated the ps..
An international consensus conference on pediatric sepsis (2005) established definitions for various terms, including systemic inflammatory response syndrome (SIRS),..
Nowadays, infants and children are exposed to screen-based devices. Excessive screen exposure can contribute to gross and fine motor developmental delays and express..
An 11-year-old boy was admitted to the emergency department with a lesion on his right proximal lower leg, resulting from a previous injury that required sutures aft..
It is crucial to understand the pathophysiology of infantile atopic dermatitis (AD)for the management of subsequent allergic diseases. Cytokines like IL-33 play a ro..
A recent preliminary, randomized, and controlled study investigated the effectiveness and safety of a novel multicomponent nasal spray as an add-on treatment for all..
The aim of a recent study was to investigate the correlation between serum periostin levels and asthma control in children. In this single-center, cross-sectional st..
A 7-week-old infant presented with fever, loose stools, vomiting, and seizures. The boy had a family history of early-onset diabetes––in the father and maternal gran..
The purpose of a new study was to examine the effects of social skills group training (SSGT) on children with autism aged 8-12 years. Here, the baseline (T1), immedi..
Despite reported benefits for various exercise modalities, determining the most effective exercise approaches and optimal exercise dose for reducing insulin resistan..
A 15-year-old girl presented with a sudden onset of high-grade fever accompanied by chills and rigor persisting for three days. She had no signs of infection – histo..
Chest pain in children is typically non-cardiac in origin, with less than 1% attributed to heart-related issues. Assessing children with chest pain involves a thor..
A new study aimed to characterize clinical and investigational findings and assess the impact of thiamine treatment on mortality in patients with acute non-infecti..
The goal of a recent study was to ascertain the prevalence of impaired growth parameters among adolescents aged 10-19 years in whom the onset of idiopathic nephrot..
Diagnosing cardiac masses poses a significant clinical challenge in the pediatric population, particularly when accompanied by systemic symptoms. An otherwise hea..
A recent quality improvement initiative aimed to establish neonatal pain management practices as a crucial developmental supportive measure at a Neonatal Intensive C..
The goal of the study was to assess the sensitivity and specificity of the inferior vena cava (IVC) distensibility index (∆IVC) and respiratory variation in peak a..
A new study investigated the association between screen time exposure in children aged one year and developmental delays across five domains (communication, gross ..
The first case: A preterm female with a delayed umbilical cord detachment underwent abdominal ultrasonography that displayed a 24 mm hypoechoic tract extending fro..
Children with septic shock often exhibit fluid deficit, reduced vascular tone, and myocardial dysfunction, necessitating fluid resuscitation and vasoactive agents...
A new study aimed to investigate the connection between proton pump inhibitor (PPI) use and severe infections in children – considering the potential impact on mic..
A new prospective cohort study aimed to investigate the association between fetal growth restriction (FGR) and metabolic bone disease (MBD) in preterm neonates. Th..
A two-year-old boy experienced sudden-onset hair loss at one year of age. The patient had been previously diagnosed with Down syndrome (DS). His initial patchy sca..
A new article discussed various therapeutic iron preparations available in the market with differing pharmacokinetic and safety profiles. Despite a lack of conclus..
Updates for 2023–2024 Influenza Season and The American Academy of Pediatrics (AAP) Recommendations:Composition of Influenza Vaccines has been updated:A new influenz..
A recent study examined the clinical presentation and management of acute pulmonary arterial hypertension (PAH) in healthy infants below 6 months old. The study enta..
A 3-month-old male infant, born to healthy consanguineous parents, presented with a 20-day history of bilious and forceful vomiting, substantial weight loss, and l..
India is on the verge of a nutrition paradox, with high rates of both malnutrition and childhood obesity. According to recent statistics, the prevalence of overweig..
A new study assessed the impact of a bundled parenting and nutrition intervention on non-targeted siblings (children) within households. This intervention was con..
A recent study aimed to assess the diagnostic accuracy of a rapid antibody detection test using IgM immunochromatography for scrub typhus in children. In this..
A 9-month-old girl, born to non-consanguineous parents, experienced developmental delays and loss of previously achieved milestones from 7 months of age. At 6..
A recent study aimed to compare the quality of life (QoL) of adolescent siblings of children with autism spectrum disorder (ASD-Sibs) to those of siblings of typical..
This study examined the use of midline catheters in a pediatric intensive care unit (PICU) and compared their performance to peripherally inserted central catheters ..
The goal of a prospective observational study was to assess pain and physiological stress in very preterm neonates undergoing minimally invasive surfactant therapy (..
Organophosphates are chemical compounds that can lead to the accumulation of acetylcholine, resulting in muscarinic symptoms like salivation and nicotinic symptoms, ..
Urinary tract infections (UTIs) in young children can be challenging to diagnose accurately. Conventionally, urine culture has been the go-to method, but it primaril..
Serotonin receptors 5-HT1B and 5-HT1D in the cerebral arteries are activated by the 5-hydroxytryptophan agonists (triptans) to relieve the discomfort associated wi..
The optimal route of tube feeding in preterm babies has yet to be discovered. A recent study compared the frequency of bradycardia and desaturation episodes/hours ..
A 16-year-old male patient arrived at the emergency department with a ten-day history of persistent nausea, vomiting, and headaches. His symptoms included constant..
While lipid profiles are extensively studied in adults as cardiovascular markers, there is a lack of similar research focusing on pediatric populations, especially..
A recent study aimed to evaluate the effects of gastric lavage on exclusive breastfeeding and skin-to-skin contact in neonates delivered through meconium-stained a..
A new study assessed the impact of an early childhood development (ECD) intervention called Sit Down and Play (SDP) on parent and child outcomes during routine hea..
The parents of a six-month-old male infant complained that the child had developed a fever over the last three days after an episode of paleness, which persisted ..
A recent study aimed to compare the pain response in neonates undergoing a heel prick procedure using three different devices – an automatic lancet, a manual lancet,..
The goal of a new study was to investigate the effects of fortified human milk on the growth and development of extremely preterm infants born at 28 weeks of gestati..
The Neutrophil-to-Lymphocyte Ratio (NLR) is a marker of subclinical inflammation calculated from the white blood cell count. It has been shown to be valuable in diag..
A 9-month-old was brought with distinct, red, blistering skin patches on both cheeks and chin, which had developed over two days. The child did not have a fever, oth..
Multisystem Inflammatory Syndrome in Children (MIS-C) – a severe hyperinflammatory condition that can occur after severe acute respiratory syndrome coronavirus 2 (SA..
Pain is a common symptom in patients admitted to a pediatric intensive care unit (PICU) – due to injury or illness. A new crossover randomized controlled trial asses..
Asthma – a common chronic disease in children, is characterized by type 2 airway inflammation. The emergence of biomarkers associated with the underlying airway infl..
Allgrove syndrome is a rare, autosomal recessive disorder, with fewer than 100 reported cases. It is characterized by three primary features – achalasia, alacrimia, ..
In low- and middle-income countries (LMICs), over 250 million children under the age of 5 do not reach their developmental potential and may have impaired speech, la..
Enterohepatic bilirubin circulation helps determine neonatal jaundice. The present study evaluated the role of oral zinc in reducing serum bilirubin in term neonates..
The present investigated whether extended exposure to both high-nephrotoxicity antimicrobials and lower-risk antimicrobials simultaneously during the neonatal intens..
A report describes a case of a 6-y-old girl who presented with high fever, headache, ataxia, and behavioral disorders. She had a history of being bitten by a stray d..
Eating disorders are severe and potentially life-threatening conditions that affect children and adolescents, impacting their physical health and their families. The..
Type 1 diabetes mellitus (T1DM) is the most prevalent (9.5%) endocrine disorder affecting children. Although trace elements (TE) have been implicated in DM developme..
A new study evaluated treatment approaches for pediatric patients who face the complex condition of having both congenital heart diseases (CHD) and airway anomalies...
A 2-week-old male infant visited for a follow-up appointment regarding dry and cracked skin – that his parents had observed since his birth. The neonate had no medic..
Childhood undernutrition is a significant problem in developing countries, including India, and is a major contributor to child mortality worldwide. Although global ..
The recent study aimed to compare the effectiveness of a transillumination device versus traditional vein viewing in pediatric patients facing difficult peripheral v..
A new study aimed to compare the effectiveness of gabapentin as an additional treatment to trihexyphenidyl in children with dyskinetic cerebral palsy (CP). In t..
A 9-year-old boy was admitted to the pediatric ward due to an acute swelling in the left popliteal fossa. The swelling was first observed about 2 weeks back and had ..
Early childhood malnutrition severely affects the infant’s health, development, and productivity. Over the past two decades, research conducted worldwide and in In..
A recent study aimed to assess asthma control in children in the age-range 5-18 years. The study compared the Asthma Control Test (ACT)/Childhood Asthma Control Te..
A study assessed and compared the average Likert scores (representing caregiver assessments of change) and CAPUTE scores in children with Infantile Tremor Syndrome (..
A previously healthy 14-month-old girl child visited a local clinic in the winter of 2018 with a 2-day history of high-grade fever and cough on the second day of ill..
A recent study aimed to investigate the specific respiratory viruses prevalent in childcare settings as they pose a common risk for acute respiratory illness (ARI) i..
Allergic rhinitis is a persistent and challenging condition influenced by various factors. Evidence indicates a potential link between cesarean section (C-section) d..
Hirschsprung's disease (HD) is characterized by the absence of ganglion cells in the colonic nerve plexuses, leading to colonic spasticity and obstruction. It can be..
Learning is a continuous journey that persists lifelong. Learning takes root in early childhood and is the basis for educational advancement. In contemporary times, ..
The goal of a new study was to ascertain the occurrence and nature of auditory function disorders in individuals with Down syndrome while also identifying factors in..
Recent evidence suggests that antibiotic use, particularly aminopenicillins – like amoxicillin, could heighten the likelihood of rash in children with infectious mon..
Tinea versicolor (TV) – a fungal infection, mainly affects adolescents and adults with skin hypo- or hyperpigmentation. This disease is unusual in infants. This case..
Childhood obesity is recognized as a significant contributor to various long-term health issues, although its impact on kidney function in later life remains largely..
Sepsis significantly contributes to the pediatric population's morbidity, mortality, and global healthcare burden. Fatality rates among pediatric sepsis patients var..
In the earlier studies, the usual span of side-alternating vibration therapy (sVT) was 9 minutes.A new feasibility study evaluated the safety, acceptability, and pot..
A 14-month-old toddler presented with weakness, fever, restlessness, and reduced appetite. His symptoms had appeared along with a skin rash, 2 weeks after a measles-..
Sedentary habits and increased screen time may have adverse metabolic effects. A new study was based on the hypothesis that childhood television viewing time is asso..
Following the COVID-19 outbreak, public awareness of infection prevention and control has heightened. The goal of a new study was to observe changes in childhood res..
Prone cross-table lateral X-rays (CTLxR) and colostograms play a role in planning surgeries for anorectal malformations (ARMs) without perineal fistulas. A new ..
Prune Belly syndrome, also called Eagle-Barret syndrome, is a rare disorder with a prevalence of 3.8 live births per 100,000 births. Its primary characteristic invol..
The year 2015 marked a significant milestone in the global fight against HIV/AIDS, as CD4-based clinical staging criteria for antiretroviral therapy (ART) initiation..
The Modified Checklist for Autism in Toddlers, Revised with Follow-up (M-CHAT-R/F), is globally employed for screening autism spectrum disorder (ASD). The present st..
The present study determined the frequency of urinary system anomaly in children aged 0–18 years suffering from first urinary tract infection (UTI) and identified th..
A report describes a case of a 10-day-old, term-born male neonate who presented with ascites, hyperkalemia, and acute kidney injury. USG demonstrated bilateral hydro..
In adolescence, the sleep duration reduces by approximately 10 minutes each year. This change occurs due to a delay in the circadian rhythm and alterations in the re..
The optimal duration of antibiotic treatment for children with community-acquired pneumonia (CAP) has not been clearly defined yet. A recent study compared the effec..
Multisystem inflammatory syndrome (MIS-C) in children is a febrile condition that shows symptoms like other locally prevalent illnesses. The goal of the study was to..
Neonatal COVID-19 infection is often not associated with neurological symptoms, but emerging evidence suggests that neurological considerations in neonates with COVI..
Multisystem inflammatory syndrome in children (MIS-C) is a severe manifestation of COVID-19 in children, and diagnostic guidelines were quickly established to identi..
Several studies examining the initial treatment options for multisystem inflammatory syndrome in children (MIS-C) have generated contradictory findings. The presen..
Simplifying logistics and reducing costs in vaccination programs worldwide is a crucial goal, and achieving this for human papillomavirus (HPV) vaccination would be ..
A report describes a case of a 16-year-old girl who presented with erythema on the dorsal aspect of her hands. She reported recent travel history to Peru for three w..
Transitioning from adolescence to adulthood can be challenging for anyone, but it becomes even more complex for individuals with autism spectrum disorder (ASD). A re..
Streptococcus pneumoniae, commonly known as pneumococcus, is a bacterium that poses a significant threat to the health and well-being of children, leading to substan..
This study aimed to assess the accuracy of the Responses to Illness Severity Quantification (RISQ) score in determining illness severity and transitions in levels of..
A report describes a case of a healthy 3-year-old female child who presented with a 1-month history of fevers and rash. Examination revealed well-defined lesions wit..
Asthma is a chronic pulmonary disorder in childhood that poses significant public health concerns due to its prolonged and inflammation-related nature. Understanding..
Diarrhea remains a significant cause of illness and death in children under five years of age, particularly in developing countries. A recent study examined the seru..
Inadequate pain management remains a common issue in hospitalized children, with significant physical and psychological implications. Infusion procedures can be part..
The present report describes a case of a 17-year-old female patient who was admitted to the hospital for evaluation of chronic abdominal pain. The patient had a hist..
In an increasingly digital world, the influence of screens on the neurocognitive development of children has become a topic of great concern. While studies have ex..
Pain is a common complication associated with burns and can have significant negative impacts on children, leading to anxiety and sleep disturbances. Several studies..
Undernutrition among children under the age of five is a pervasive global health challenge that contributes to increased morbidity and mortality rates. In an effort ..
A report describes a case of a 10-year-old boy who initially presented to the emergency department with right abdominal pain, throbbing in nature, associated with na..
A 2020 study aimed to explore novel molecules associated with asthma by analyzing the circulating proteins in childhood asthma. Identifying asthma-associated novel m..
This project aimed to establish evidence-based guidelines for the administration of analgesics by Emergency Medical Services (EMS) clinicians for moderate-to-severe ..
The goal of a recent study was to examine the prevalence of overweight or obesity in children with medical complexity (CMC) compared to those without medical complex..
Transorbital penetrating head injury (PHI) is a rare occurrence but can have severe consequences. While it represents a small percentage of all head injuries, it acc..
Children with a weight-for-age z-score (WAZ) below -3 face a significant risk of death. Yet, this important indicator is not widely utilized in nutrition treatment p..
A recent study compared the effectiveness of ball squeezing and watching cartoons in managing pain during intramuscular (IM) injections in children. This randomized ..
A new study examined the impact of adenotonsillectomy on growth-for-age in pre-pubertal children and identify factors that influence this change.This was a retrospec..
Intrabiliary ascariasis is a relatively rare condition that can cause biliary colic and obstructive jaundice in children, primarily due to the small size of the ampu..
Neonatal jaundice is a common condition affecting many newborns. Early identification of high bilirubin levels is crucial to prevent severe complications, such as ac..
The present study determined the effect of the light toy on lowering pain and fear during blood collection in children.It obtained data from 116 children and observe..
Evidence supports the use of messenger RNA (mRNA) COVID-19 vaccines in children aged 5 to 11 years. Hence the present study evaluated the efficacy and safety of thes..
The report details the case of a 14-year-old boy who had been experiencing polyuria, polydipsia, excessive fatigue, and weight loss for the past six months and prese..
Biological agents can cross the placenta and result in detectable blood levels in the neonate. Neonatal vaccinations are crucial to prevent serious infections. Gisbe..
Acute diarrhea remains a prime contributor to under-5 mortality. Green Banana is a traditional home-based remedy for diarrhea.The present study identified the effect..
The present study investigated the perceptions and experiences of children receiving intravenous (IV) injections and the self-reported pain scores and management str..
A report describes a case of a 10-month-old boy with pathological neurological symptoms of muscle tremors of the upper limbs, head, tongue, and lips, as well as dela..
Pneumococcal conjugate vaccines (PCVs) have markedly decreased the disease burden caused by Streptococcus pneumoniae, a foremost reason for childhood morbidity and m..
Functional abdominal pain is a type of abdominal pain that is common in children and is not caused by any other medical condition. Researchers believe that probiotic..
The present study investigated the effectiveness of the Parent-Child Sandplay Therapy (PCST) Program on autism behaviors, social interactions, and sleep quality amon..
A report describes a case of a 2-day-old male neonate born to consanguineous parents who presented with yellowish skin. The mother suffered moderate hypertriglycerid..
Autism spectrum disorder (ASD), a neurodevelopmental disorder, presents core social communication/interaction insufficiencies and restrictive, repetitive behavior pa..
Acute pain remains a common symptom in children of all ages and is associated with various conditions. Despite the existence of guidelines, pain often stays underest..
The emergence of diabetic ketoacidosis (DKA) at the onset of type 1 diabetes (T1D) stays risky. After a 2011 systematic review, numerous additional articles were pub..
A report describes a case of a 21-month-old boy who presented with alleged accidental consumption of 120 mg of inorganic mercury three days back. He experienced mild..
Cystatin C – a crucial marker of heart failure (HF), strongly correlates to right ventricle (RV) ejection fraction (EF). Therefore, it may also be useful in determin..
A study aimed to describe the clinical and laboratory profile, management, intensive care needs, and outcomes of children with toxic shock syndrome (TSS) – from the ..
It remains uncertain whether food allergy can be prevented using earlier allergenic food introduction.A new study investigated the correlation between allergenic foo..
A 14-year-old male was erroneously administered i.v. Adrenaline 6 mg (1:1000), which led to immediate severe abdominal pain, vomiting, gastrointestinal (GI) bleeding..
Toxic shock syndrome (TSS), a severe, acute life-threatening condition, mostly affects healthy children. Exotoxins are primarily produced by Staphylococcus aureus (T..
Invasive pulmonary aspergillosis (IPA) illustrates a severe illness in immunocompromised children; however, its optimal management still remains arguable. To better ..
There exists negligence while Transporting neonates, which results in high mortality of neonates during transport. The present study determined the effectiveness of ..
A report describes a case of a 13-year-old female child who presented with pain in the abdomen, melena, and anemia of 8-day duration with a history of a similar epis..
Interleukin-6 (IL-6) may generate anti-platelet and anti-endothelial autoantibody coagulation defects leading to bleeding and plasma leakage in dengue infection. Vac..
About two-thirds of children with tuberculosis have a nonsevere disease, which may be managed with a shorter regimen than the current 6-month regimen.The present stu..
The present study evaluated associations between changes in weight, length, and weight/length ratio during infancy and outcomes later in life among extremely preterm..
A report describes a case of a 12-month-old Japanese boy who presented with cyanotic breath-holding spells. He started crying excessively, followed by holding his br..
Greenhow TL. et al. recently assessed invasive bacterial infection incidence rates in preterm infants and compared the rates and pathogens between preterm and full-t..
The dose of supplemental vitamin D needed in infants born with 25-hydroxyvitamin D (25[OH]D) serum concentrations less than 50 nmol/L (i.e., 20 ng/mL) remains unclea..
The present study assessed the relationship between eating speed, adiposity, factors predicting cardiometabolic, and diet quality in preschool children.The study enr..
A report describes a case of a 19-day-old male neonate who presented with complaints of fever and loose stools for one day. His parents denied any history of cough, ..
Edwards et al., in their recent study, examined a 42-hospital Pediatric Health Information System (PHIS) administrative database to revise prior studies on the incid..
Intranasal corticosteroids (INCs) are the first-line treatment for chronic rhinosinusitis (CRS) in adults and children, despite scarce evidence regarding their effic..
During the unstructured time of childhood, viewing screens is primarily a means of entertainment. The present study reviewed the burden of the problem, delineated th..
A report describes a case of a 10-month-old girl who was referred to Pediatric Gynecology after her parents noticed an expanding genital bulge. Parents reported firs..
A recent systematic review study and meta-analysis by D.C.G. da Silva et al. estimated the prevalence of malnutrition and nutritional deficiencies in children with c..
Sleep patterns and weight in infants are crucial concerning infant growth and development. Baby massage is a slow and gentle stroke movement over the baby's body, st..
Experimental studies and small clinical trials suggest the role of intranasal oxytocin in reducing social impairment in persons with an autism spectrum disorder. Oxy..
A report describes a case of a 6-year-old previously healthy girl who presented with odynophagia and dental pain of the right upper molars. One day later, she got ho..
Complementary feeding is advised in infants at six months of age, along with breastmilk. Mothers' knowledge and behavior in administering sufficient complementary fe..
The effectiveness of probiotic strains of Lactobacillus acidophilus in managing acute childhood gastroenteritis remains unclear. The present study searched the Cochr..
Topical oils are commonly applied in neonates' skin. The present study identified investigations that determined the effects of topical oils on neonatal skin. I..
A report describes a case of a seven-month-old male patient who presented with complaints of diaper rash of three months of duration with no response to treatment. H..
Diet plays a crucial role in the pathogenesis and management of Crohn’s Disease (CD). However, we know little about CD children’s dietary habits. Labriola F. et al.,..
The present study compared the efficacy of Ondansetron versus Domperidone for treating vomiting in acute gastroenteritis (AGE) in children.The study included 300 chi..
The Japanese vaccination rate for infants and children is evidently excellent, except for the human papillomavirus (HPV) vaccine. Regardless of its efficacy, the ino..
A report describes a case of a six-month-old infant who presented with a one-week history of multiple reddish, scaly skin lesions in the trunk area. The diaper area ..
A landmark longitudinal study conducted in Costa Rica in the 1980s showed that children with chronic iron deficiency, compared with good iron status in infancy, have..
The efficacy of multispecies probiotic formulations in preventing antibiotic-associated diarrhea (AAD) remains unclear. The present study assessed the effect of a mu..
Children with atopic dermatitis (AD) pose a higher risk of peanut allergy. However, these children may have more raised sensitization measures, including serum IgE (..
A report describes a case of a 6-year-old boy with no significant past medical or surgical history who presented with left lower abdominal pain for two days. He refu..
Atopic dermatitis (AD), a chronic skin condition, causes dry, itchy, and red skin; and affects more than 1 in 10 children. It results from dysfunction of the skin ba..
Tinea capitis is a common dermatophyte infection involving the scalp and hair shaft and is often observed in children. Trichoscopy is a non-invasive tool that helps ..
Literature reports Temporal associations between Kawasaki disease (KD) and childhood vaccines. However, there are limited data on KD following 13-valent pneumococcal..
A report describes a case of a 12-year-old girl who presented with a four-day history of vomiting and worsening pain in the right flank and periumbilical region. Phy..
Oral health makes an integral part of the overall health of children. Dental caries is a common chronic disease process with significant short- and long-term consequ..
Infantile seborrheic dermatitis (ISD), a benign, inflammatory skin condition, features an erythematous rash with greasy scaling and is reported in approximately 70% ..
The present study assessed the 6-month incidence of laboratory-confirmed severe acute respiratory syndrome coronavirus 2 (SARS-CoV-2) infection, postnatal care, hosp..
A report describes a case of a patient who started to develop wheals every couple of weeks at the age of 5. After two years of evolution, a first diagnostic workup w..
Infancy is a golden era; thus, it also demands special attention for the child's growth and development. From infancy to childhood, growth and development are contin..
Micronutrient deficiencies remain still prevalent among children under five in low- and middle-income countries (LMICs), even though several effective strategies now..
Several investigations have found prophylactic emollients as a preventive strategy against atopic dermatitis (AD) and food allergy (FA). The present study synthesize..
A report describes a case of a five-year-old girl who presented with complaints of fever, rashes, and cold for the past week. She experienced continuous fever every ..
Kline JN et al., in their study, compared the clinical and laboratory features of children with Multisystem Inflammatory Syndrome in Children (MIS-C) to those evalua..
Seborrheic dermatitis (SD) presents a common chronic inflammatory skin disorder that mostly concerns young adults in areas rich in sebaceous glands (scalp, face, and..
There remain only a few studies that evaluate bathing frequency in pediatric atopic dermatitis (AD). Parents of children with AD often receive conflicting informatio..
A report describes a case of a 6-month-old, term, previously healthy, and fully immunized girl who initially presented to pediatric urgent care with one day of fever..
Evidence has linked maternal pre-pregnancy obesity with low folate concentrations and child overweight or obesity (OWO). However, the role of maternal folate concent..
The practice of infant massage is common throughout the world. Yet, the effectiveness of this intervention is unclear for the term healthy newborns.A recent systemat..
The present study developed and evaluated a new patient-reported outcome measure to assess perceived barriers to antiretroviral therapy (ART) adherence. It developed..
A report describes a case of a three-year-old male patient with an unremarkable past medical history who presented with a five-day history of microvesicular lesions ..
Glucose phosphate isomerase (GPI) deficiency, an autosomal recessive condition, shows mutations in the GPI gene on chromosome 19q13.1. These Patients have congenital..
Exhaled nitric oxide (eNO), a noninvasive marker of airway inflammation, is employed in children using the "offline" technique. No studies in the literature compare ..
Pneumonia makes the top infectious cause of death in children, with especially high mortality in low- and middle-income countries. Interleukin-18 binding protein (IL..
The present report describes a case of a 7.5-year-old boy with tumefactive multiple sclerosis (TMS) and a Baló-like lesion who initially presented with subacute righ..
Streptococcus mutans make a major etiological agent for dental caries. S. mutans strains expressing collagen-binding proteins (CBPs) are related to the pathogenesis ..
The Continuous bright light conditions that premature infants experience while hospitalized in Neonatal Intensive Care Units (NICU) can have harmful effects on their..
Hyperdiploidy represents the largest genetic entity of B-cell precursor acute lymphoblastic leukemia in children. A recent study discussed in detail the diagnostic h..
A recent report describes a case of a three-year-old girl who presented with cutaneous lesions in the absence of fever, pruritus, or other symptoms. Physical examina..
Proper feeding of infants and young children is crucial for healthy growth and preventing stunting, wasting, and being overweight. A recent study assessed the benefi..
Neonates also experience pain, and its management is necessary to control long-term as well as short-term effects. The most common source of pain in the neonatal int..
Eczema is characterised by dry and inflamed, itchy skin and affects around 20% of children. A recent study compared the clinical effectiveness and safety of the four..
A report describes a case of a 32-week (gestational age) female newborn weighing 1,700g who was delivered by an emergency cesarean section, following placental abrup..
A recent joint declaration from the American Academy of Pediatrics-American Academy of Child and Adolescent Psychiatry-Children’s Hospital Association reported high ..
Pediatric pulmonary hypertension (PH) is associated with numerous vascular, pulmonary, cardiac, and systemic conditions. Though therapies have developed in recent ye..
The goal of a recent study was to identify facilitators and barriers to physical activity in children with bronchiectasis––unrelated to cystic fibrosis (CF)––from th..
A newborn born at 39-week gestational age developed respiratory distress shortly after birth. The baby boy required transient non-invasive respiratory support and wa..
Pulmonary atresia, a congenital cardiac abnormality, is often detected shortly after birth and presents as a faulty development of the pulmonary valve.Since children..
Blood gas analyzers are commonly available in neonatal intensive care units to measure bilirubin in whole blood. However, their accuracy of measurements is not well ..
Preterm neonates tend to develop sepsis more often, possibly due to an immature immune system. Literature on lymphocyte subsets and immunoglobulins in preterm neonat..
A report describes a case of an otherwise healthy 1-week-old who presented with a diaper rash. Examination revealed perianal redness with shallow ulcerations, ulcera..
We evidently know that human milk feeding restricts lung diseases in vulnerable neonates. A recent study by Moliner-Calderón E. et al. compared the need for mechanic..
There may be the existence of common inflammatory biomarkers linking obesity and asthma in children. However, laboratory and clinical characteristics of children wit..
Pediatric track and trigger tools (PTTTs) based on vital parameters witness their global use in assisting healthcare professionals in identifying signs of critical i..
A report describes a case of a girl with normal perinatal history, born to a 32-year-old primigravida mother at 39-week gestation by cesarean section for non-reassur..
Synaptogenesis, myelination, energy metabolism, and neurotransmitter production depend on iron for brain development. NICU infants are at distinct risk for iron defi..
Longitudinal trajectory methods, featuring outcome assessments at three or more time points, are used as appropriate approaches for understanding the developmental p..
Infants born preterm are highly susceptible to infectious diseases, which many factors may contribute to; however, the immature nature of the preterm immune system r..
A report describes a case of a female neonate who got delivered (via elective cesarian section) at term following an unremarkable prenatal course with normal fetal u..
Delays in advancing to biologic therapies may lead to adverse outcomes in inflammatory bowel disease (IBD). Insurer-mandated prior authorizations may cause prolonged..
Practicing infant massage in a variety of settings is common globally. However, there is a demand for an updated literature review on this topic. A recent study thus..
Jaundice caused by hyperbilirubinemia is common during the neonatal period. Yet there are only a few Population-based studies evaluating assessment, management, and ..
A report describes a case of a 9-year-old boy with no significant medical history who complained of painless blurry vision for two days. He also had dizziness and a ..
Necrotizing enterocolitis (NEC) is the most common gastrointestinal emergency in the neonatal intensive care unit (NICU). It is also a major cause of preterm infant ..
Oxygen is the final electron acceptor in aerobic respiration, whose scarcity may cause bioenergetic failure and cell death. Thus, administration of supplemental conc..
Neonates and infants show different causes of hypercalcaemia, often distinct from those in older children and adults. Hypercalcaemia offers a wide range of symptoms,..
The recent report describes a case of an 11 years old boy who was identified by coaching assistants attached to the Family Medicine Centre (FMC) of the Department of..
Haematopoiesis in the bone marrow (BM) regulates Blood and immune cell production in postnatal life. It first emerges in human BM at 11-12 post-conception weeks. How..
Sickle cell disease (SCD) is a life-limiting inherited hemoglobinopathy that causes significant complications and affects the quality of life. Hematopoietic stem cel..
Researchers are now exploring the potential role of ultrasound for diagnosing pulmonary diseases because, traditionally, lungs have been considered unsuitable for ul..
A 3-year-old boy, complained of pain in both lower limbs for eight days and fever for seven days. He was apparently healthy and went to bed symptom-free and awoke in..
In the absence of commercially available, licensed, and age-specific dosage forms, extemporaneous compounding is a usual pharmacy practice. However, these preparatio..
The pharyngeal airway is a vital component of the respiratory system's function. Assessment of the pharyngeal airway dimensions in different skeletal types is essent..
AD is a complex disease demonstrating different clinical phenotypes, requiring an individualized and multidisciplinary approach. Only a few detailed guidelines direc..
A report describes a case of a neonate weighing 2140 g, with a gestational age between 36 and 38 weeks, found in a cardboard box, nude, covered only with a blanket, ..
Children with disabilities have more significant health needs and challenges accessing health care and education. Low-income and middle-income countries (LMICs) are ..
The Head-related transfer function (HRTFs) is the Fourier transform of head-related impulse response that characterizes how an ear receives a sound from a point in s..
Patient-reported outcome measures (PROMs) have become essential in evaluating care and clinical research. Therefore, clinicians and researchers need to use an age-ap..
BackgroundHepatic dysfunction in malaria has been known for many years, but hepatic encephalopathy is unusual. Jaundice has been found to be more common in falciparu..
Cross-sectional studies indicate that children suffering from chronic intestinal failure and receiving home parenteral nutrition carry an increased risk of impaired ..
Numerous alternative peripartum and neonatal practices are nowadays introduced in delivery settings. Pediatric providers may be queried about these practices during ..
In the initial days of hospitalization, preterm newborns receive combinations of breastfeeding, spoon/paladai feeding, and/or gavage feeding. Each of these methods m..
A report describes a case of a 5-year-old girl, who was previously healthy and presented with a one-week history of high-grade intermittent fever, headache, and righ..
Urinary Tract Infection (UTI) in neonates (..
Preterm infants with premature rupture of membranes are often administered antibiotic treatment, however, the rates of early onset sepsis are lower. A recent study, ..
A report describes a case of an infant female born at 31 weeks of gestation with a weight of 1500 g. She was delivered by cesarean delivery with spinal anesthesia, p..
Preterm infants, born at 35-36 weeks, are often admitted to a level I unit (well-newborn maternity wards). However, they may still be physiologically immature.Infant..
Jaundice screening in the newborn period is mostly done with Transcutaneous bilirubin (TCB) monitoring. However, there are very less data on adjusting TCB for bias i..
Tuberous sclerosis complex (TSC) leads to various neurologic symptoms, such as intractable epilepsy and neurodevelopmental disorders, including learning problems and..
A report describes a case of a 31-year-old female, gravida 3, para 2, who was referred for fetal cardiac evaluation at 22 weeks gestation since she had a maternal fa..
Brain injury and its effect on long-term neurodevelopment will continue to be one of the main challenges in neonatal medicine in upcoming years. The etiology of brai..
Eosinophilic esophagitis (EoE), a chronic clinical-pathologic disease, is characterized by eosinophilic infiltration of the esophageal epithelium with esophageal dys..
Magnetic resonance imaging (MRI) has played an integral role in characterizing patterns of structural, functional, and metabolic brain development. Additionally, stu..
We present the case of a 7-month-old infant. She has two-month history of worsening intermittent vomiting and failure to thrive despite nutritional optimization and ..
Children’s rhythmic movements during the first year of life have a significant predictive validity for subsequent communicative development. Nevertheless, their func..
Preterm children have an increased risk of falling for autism spectrum disorder (ASD). But an early diagnosis of ASD is challenging because of the lesser reliability..
Temperament is a vibrant trait that can be moulded by maturity and environmental experiences. A recent study determined if and the extent to which temperament was pr..
A report describes a case of a 5-year-old boy who presented with palpitation and dyspnea. His symptoms were reported to start after an upper respiratory infection 3 ..
The Children of today will be adults of tomorrow. It’s not the economical and natural resources but the quality of children and youth decides the kind of destiny tha..
After the coronavirus 2019 pandemic, Europe and America, several centers reported children presenting with an acute febrile illness accompanied by inflammation, gast..
Epilepsy is a frequent cause of pediatric hospitalization. In such cases, patient safety relies on prompt seizure first aid. A collaborative effort between physician..
AbstractThe leiomyoma is a benign tumor of smooth muscle. Key Words: Leiomyoma, Glans, Glans disease, Glans penisIntroductionLeiomyoma is a ubiquitous, benign mesenc..
Growth hormone (GH) therapy has been applied in the yesteryear; it has demonstrated excellent safety when used for short-term treatments ever since 1958. However, re..
The bioavailability of iron from different dietary iron sources varies.The goal of a study was to calculate the amount of bioavailable iron consumed among 6- to 12- ..
A new study published in JAMA Pediatrics examined the association between screen time exposure during infancy and the development of autism spectrum disorder (ASD) –..
A 12-year-old girl presented with intermittent fever, generalized weakness, along with distension abdominal pain. She was diagnosed with a bilateral ovarian dysgermi..
COVID-19 pandemic has taught us the crucial role of immunity in children as well as in adults. It has also described a boosted expression of innate immune responses,..
Most children living in low- and middle-income countries need palliative care (PC). Colombian healthcare professionals (HCPs) know very less about pediatric palliati..
Childhood Asthma, a chronic condition, is frequently reported. International guidelines for children and young people (CYP) support using Leukotriene receptor antago..
A case reported admission of a baby boy of 23 days old, for treatment and management of presumed neonatal sepsis and meningitis. He was a full-term baby born normall..
A management model for admission and treatment of pediatric trauma employing the Theory of Constraints (TOC) was designed after scrutinizing the frequent management ..
Lengthy mechanical ventilation in premature infants can lead to adverse consequences, like bronchopulmonary dysplasia, pneumonia, impaired neuronal development etc. ..
Recent years have witnessed great advancements in assessing and managing children with growth failure. Yet it can be further improved by employing novel digital tech..
A report describes a case of a 2-year-old boy weighing 15 kg, who reported a high-grade continuous type fever along with chills and rigors. He also had cough (wet co..
The assessment of a child's growth and nutritional status is essential before a dietary recommendation. However, evaluation of the nutrition status necessitates a se..
Evidence suggests that screen-based devices pose deleterious impacts on children’s health and development. Understanding the extent and severity of such impacts requ..
The goal of a study published in The Journal of Pediatrics was to describe the antibiotic prescribing patterns in ambulatory children with community-acquired pneumon..
A 28-month-old male infant was brought to the emergency department with an acute abdominal pain. His parents reported that the child had a few episodes of vomiting o..
Pediatric tracheostomy becomes frequently necessary for enabling long-term ventilation. A new article published in JAMA Pediatrics aimed to report hospital health ca..
A recent study explored the association between elective birth at 39 weeks of gestation and the risk of childhood developmental outcomes.This was a cohort study, tha..
A recent article reviewed evidence relating the importance of the composition of culture media on the health of embryos, fetuses, newborns, and adults generated by a..
A three-year-old boy was brought to the pediatric emergency department because of persistent inconsolable crying over the past day. Earlier, on the same week he had ..
A recent study published in Current Psychiatry Reports reviewed the current literature on neurodevelopmental profiles and autism prevalence among infants at high-r..
Morbidity and mortality associated with hypothermia in preterm neonates can be averted through low-cost strategies.The aim of this study was to examine effect of mas..
A recent article discussed that the increasing prevalence of childhood obesity impose far-reaching impacts. The deleterious effects of excess adiposity during childh..
A 6-month-old baby boy presented to them with irritability and generalized lethargy over the past week. The child had been suffering from an upper respiratory tract ..
Preterm infants and infants with perinatal brain injury possess an increased incidence of neurodevelopmental disorders (NDD). The Infant Motor Profile (IMP), a clini..
Growth hormone (GH) therapy is utilized since 1958 and has shown an excellent safety profile in the short term. However, its potential long-term side effects cannot ..
There is a lack of consensus regarding the definition of late-onset bacterial sepsis (LOS) in very preterm infants. A recent study thus assessed the concordance of L..
Diabetic Ketoacidosis (DKA) is one of the commonest diagnoses observed in the Pediatric Intensive Care Unit (PICU). It is associated with fatal complications like ce..
A recent study examined the implications of a range of parental emotion socialization behaviors in the context of adaptive and maladaptive child and adolescent emoti..
A recent study published in Nutrients quantified the composition of human milk oligosaccharides (HMOs) of women with normal BMI (18.5-24.9 kg/m2), overweight or obes..
The purpose of a study published in the Israel Journal of Health Policy Research was to develop a management model for admission and treatment of pediatric trauma ..
An otherwise healthy 12-year-old male presented with severe headache over the past two months. The headaches seemed progressive and were associated with fever. The c..
The Association of Medical School Pediatric Department Chairs (AMSPDC) summoned a multiorganizational Workforce Summit in February 2020, which assembled leaders from..
Knowledge about why and how extremely preterm infants die is crucial for practitioners caring for these infants. Thus a recent study examined risk factors, causes, t..
There exists Practice variability regarding the usage of corticosteroids in treating or preventing bronchopulmonary dysplasia in extremely preterm infants, but limit..
Aneurysms are associated with infections, head injuries, sickle cell anemia, cardiovascular diseases, autoimmune diseases, immunodeficiencies, and connective tissue ..
Neonates and infants are more vulnerable to infections in comparison to adults, which are associated with mortality and morbidity. In utero, the infant is protected ..
Globally, prematurity affects 15 million infants per year and illustrates long-term neurodevelopment, motor, cognitive, linguistic, and socioemotional deficits. Alon..
Parents play a very important role in an infant’s development via interaction and the type of environment they provide for their children. However, several countries..
Gastroesophageal reflux disease is a fairly common problem in neonatology. GERD is characterized by the involuntary and intermittent backflow of gastric content into..
The parents, especially the mother, after the birth of a baby, have a frequent practical query concerning how long the time during which they have to go with less an..
Extracorporeal life support (ECLS) is now widely used for the pediatric and neonatal population. Additionally, dramatic improvements in the technology and safety of ..
The Baby-Friendly Hospital Initiative designates a global effort to sustain breastfeeding. This program supports longer duration and exclusivity of breastfeeding and..
AbstractThyroid hormone plays an important role in different metabolism in the body. Hematopoietic system is the primary one among the affected systems and anemia is..
Parental reflective functioning describes the parents' ability to reflect on the internal mental states of their children, which will make them react more sensitivel..
Evaluating the features of spontaneous movements and behavior in early infancy assists in estimating developmental outcomes. A recent study introduced the Infant Beh..
Numerous neuroimaging studies describe the presence of brain lesions in the preterm infant, using cranial ultrasound (cUS) and/or term equivalent age MRI (TEA-MRI). ..
A report describes a case of a 20-month-old girl who presented with progressive respiratory distress and fever since 1 day before admission. Her weight was 14 kg, wi..
Advancements in neonatal care have shown improved outcomes in high-risk newborns with technologies playing a significant part although many were designed for the neo..
Neonatal anemia may hinder oxygen transport to the brain. The effect of anemia and cerebral oxygenation on neurological functioning in the early neonatal period rema..
Preterm infants contain higher nutrition needs than term infants. Single specific systematic reviews (SRs) assessed the effectiveness of various feeding supplementa..
AbstractLangerhans cell histiocytosis (LCH) is a rare disorder involving clonal proliferation of cells in mononuclear phagocyte system. Clinical forms of LCH are Let..
The protective effects of Kangaroo mother care (KMC) on the neurodevelopment of preterm infants are well known however the persistence of its benefits beyond infancy..
At birth, human infants are suspended to endure harsh, hostile conditions. Understanding the state of newborn skin development and maturation is crucial to maintaini..
The United Nations’ Sustainable Development Goal Target 2.2 aspires to end all forms of malnutrition by 2030 by meeting targets, along with eliminating stunting and ..
Among the very little published literature, none have discussed care in a neonate regarding anesthetic risk and management of the neonate with congenital bronchobili..
American Academy of Pediatrics recommended the Intramuscular administration of vitamin K for the prevention of vitamin K deficiency bleeding (VKDB) as a standard of ..
The present study discussed novel combinations of topical agents (i.e., zinc gluconate, zinc oxide, dexpanthenol, and taurine) that target a combination of mechanism..
One recent retrospective large-scale study examined the association between prescribing antibiotics for infants and subsequent atopic dermatitis (AD) by utilizing th..
AbstractHemangiomas are benign tumors made up of blood vessels. They usually regress spontaneously within 9 years of age. Hemangioma of retropharyngeal space is a ra..
ABSTRACTHerpes zoster (HZ) as well as varicella are caused by varicella-zoster virus. It is uncommon in children. Cases have been reported in literature among all ag..
A recent study evaluated the persistence of maternal anti-S IgG, induced by a COVID-19 vaccine, in infant blood, and compared the persistence of infant anti-S IgG fo..
Diaper dermatitis represents a common form of irritant contact dermatitis that is seen in infants and toddlers, primarily due to prolonged contact with urine, feces,..
A prospective cohort study explored and compared fetal neurosonography and infant neurobehavioral tests in spontaneously conceived (SC) and in vitro fertilization (I..
Medtalks is India's fastest growing Healthcare Learning and Patient Education Platform designed and developed to help doctors and other medical professionals to cater educational and training needs and to discover, discuss and learn the latest and best practices across 100+ medical specialties. Also find India Healthcare Latest Health News & Updates on the India Healthcare at Medtalks
